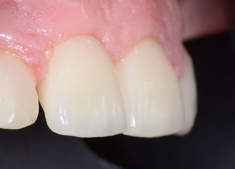
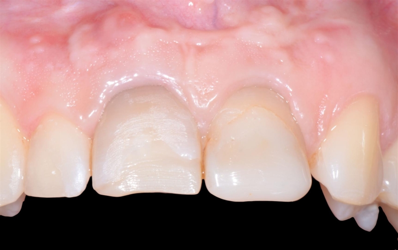
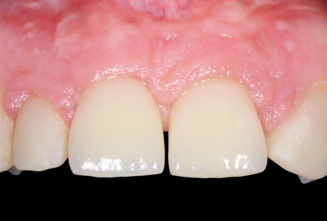
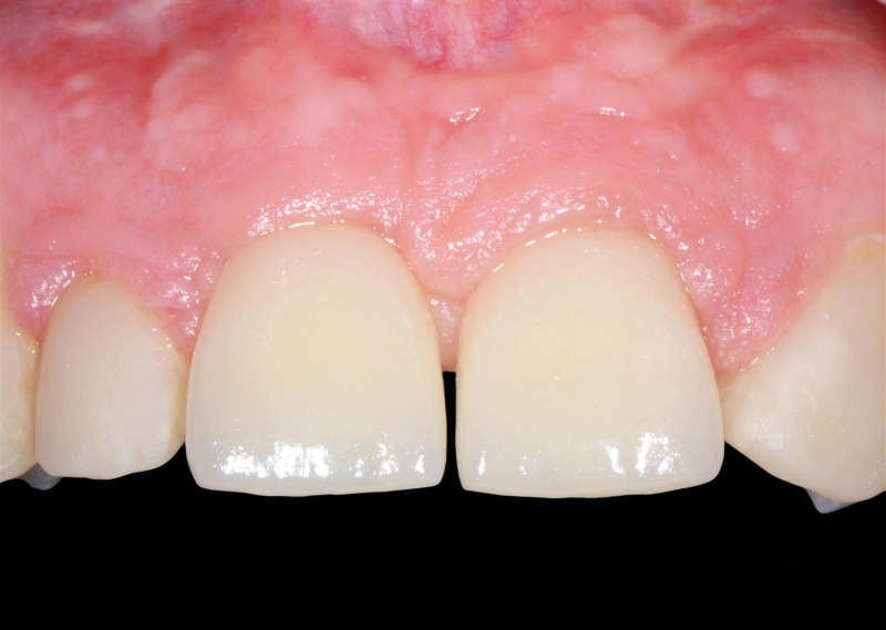
Ridge preservation with cerabone® & Jason® membrane - Dr. D. Jelušić