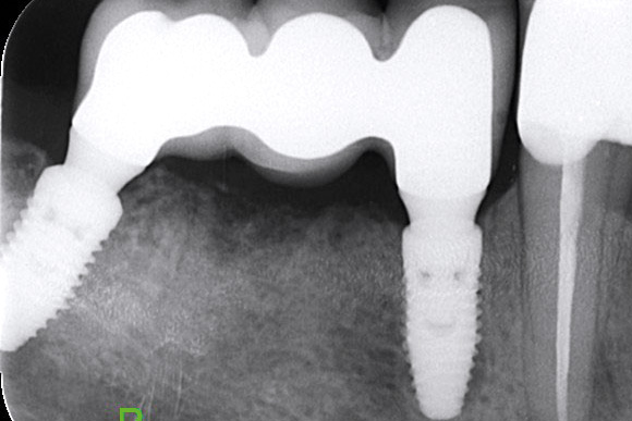
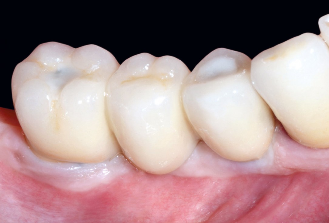
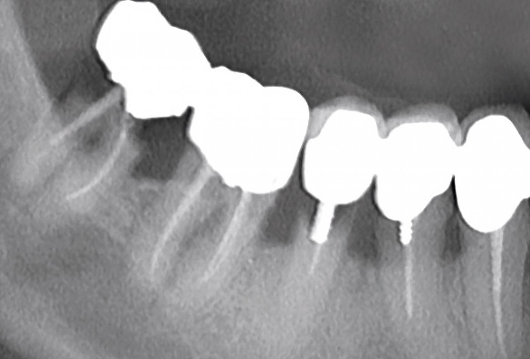
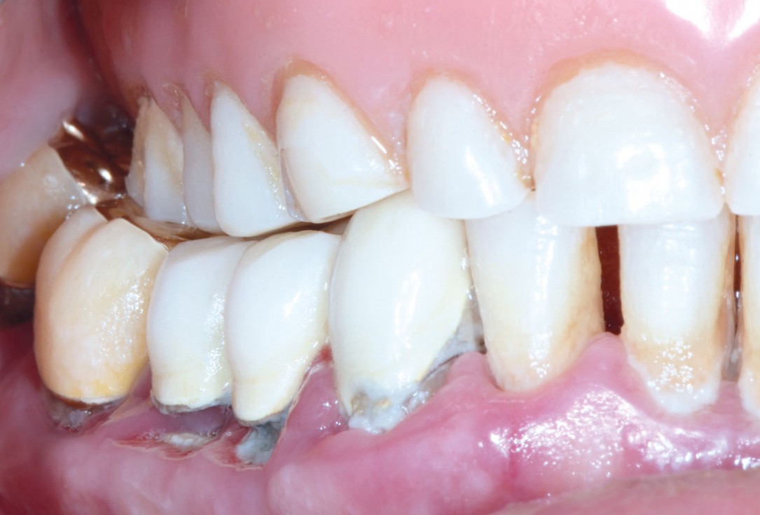
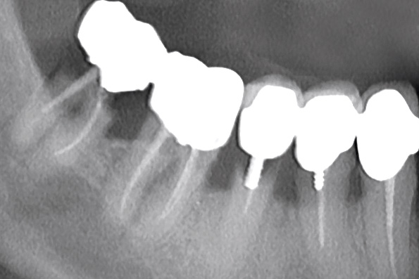
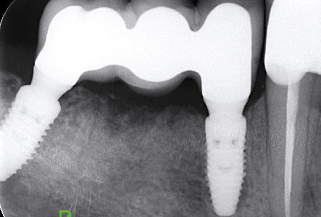
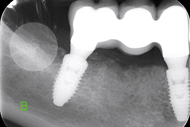
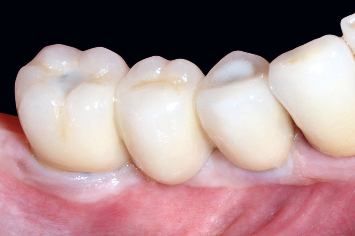
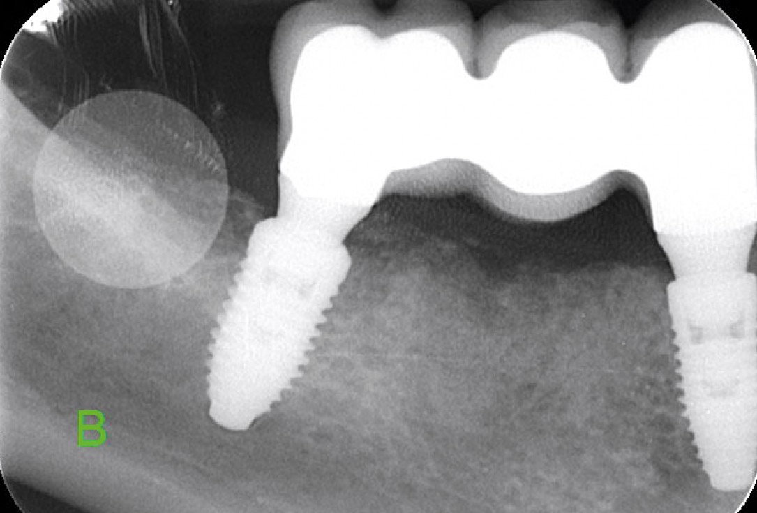
Multiple socket preservation in the mandibular with collacone® max – Dr. D. Jelušić