GBR together with soft tissue augmentation with mucoderm® and maxresorb® - Dr. S. Scherg
-
1/18 - Longitudinal fracture on the root resected tooth 21 with visible buccal fistulaGBR together with soft tissue augmentation with mucoderm® and maxresorb® - Dr. S. Scherg
-
2/18 - Obvious loss of the buccal lamellaGBR together with soft tissue augmentation with mucoderm® and maxresorb® - Dr. S. Scherg
-
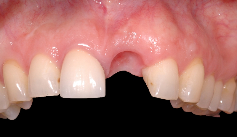
3/18 - Clinical situation 6-8 weeks after extraction, vestibular viewGBR together with soft tissue augmentation with mucoderm® and maxresorb® - Dr. S. Scherg
-
4/18 - Clinical situation, occlusal viewGBR together with soft tissue augmentation with mucoderm® and maxresorb® - Dr. S. Scherg
-
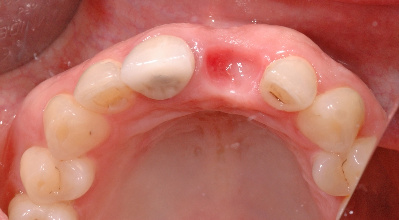
5/18 - Situation after implantation showing a buccal defectGBR together with soft tissue augmentation with mucoderm® and maxresorb® - Dr. S. Scherg
-
6/18 - Augmentation with maxresorb® and covering with a non-resorbable PTFE membraneGBR together with soft tissue augmentation with mucoderm® and maxresorb® - Dr. S. Scherg
-
7/18 - Fixation of the membrane with titanitum pinsGBR together with soft tissue augmentation with mucoderm® and maxresorb® - Dr. S. Scherg
-
8/18 - Soft tissue thickening of the buccal side with mucoderm® and recession treatment of tooth 23GBR together with soft tissue augmentation with mucoderm® and maxresorb® - Dr. S. Scherg
-
9/18 - Additional placement of mucoderm®, crestally and linguallyGBR together with soft tissue augmentation with mucoderm® and maxresorb® - Dr. S. Scherg
-
10/18 - Fixation of mucoderm® and suturing of the flapGBR together with soft tissue augmentation with mucoderm® and maxresorb® - Dr. S. Scherg
-
11/18 - Implant exposure and membrane removal 4 months post-operativeGBR together with soft tissue augmentation with mucoderm® and maxresorb® - Dr. S. Scherg
-
12/18 - Insertion of abutmentGBR together with soft tissue augmentation with mucoderm® and maxresorb® - Dr. S. Scherg
-
13/18 - Further soft tissue augmentation with mucoderm®GBR together with soft tissue augmentation with mucoderm® and maxresorb® - Dr. S. Scherg
-
14/18 - Wound closure and mounting of provisional prosthesisGBR together with soft tissue augmentation with mucoderm® and maxresorb® - Dr. S. Scherg
-
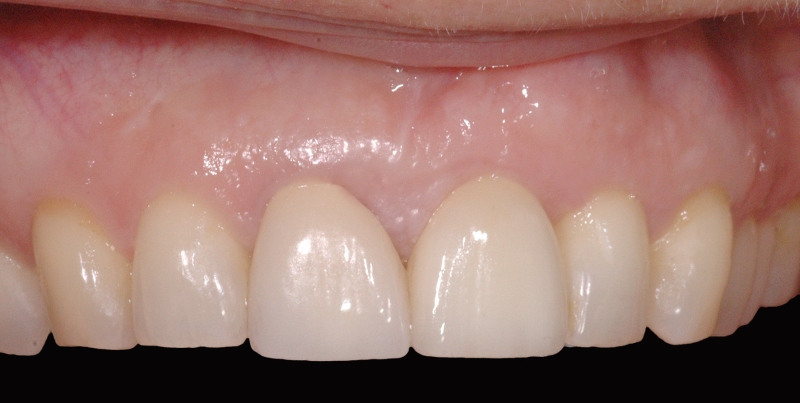
15/18 - Situation after long-term healing with provisional prosthesisGBR together with soft tissue augmentation with mucoderm® and maxresorb® - Dr. S. Scherg
-
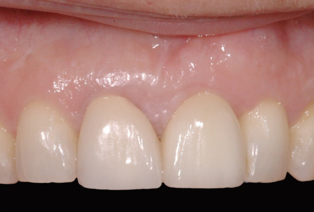
16/18 - Final restoration 15 months after implantation and stability of root coverage in regio 23GBR together with soft tissue augmentation with mucoderm® and maxresorb® - Dr. S. Scherg
-
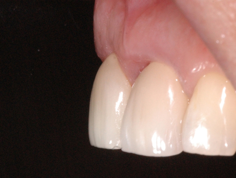
17/18 - Final restoration 15 months after implantationGBR together with soft tissue augmentation with mucoderm® and maxresorb® - Dr. S. Scherg
-
18/18 - X-ray control 15 months post-operativeGBR together with soft tissue augmentation with mucoderm® and maxresorb® - Dr. S. Scherg
Initial view of the case. Discoloration of 1.1 and mild class I gingival recession
Initial clinical situation with Miller class 1 recession
Initial clinical situation
Initial clinical situation
Pre-operative clinical situation. Gingival recessions at teeth 11 and 21.
Gingival recession at tooth 13. Free gingival graft (FGG) of a previous surgery for root coverage visible.
recession on tooth 11
Insufficient keratinized mucosa and extremely shallow vestibule on the maxilla
Initial clinical situation
Intact socket following atraumatic tooth extraction
Full-thickness flap preparation bucally and lingually
Initial situation: missing teeth #11 & 12 and badly broken #21 root
Drilling template for guided implant placement
Initial clinical situation showing strongly compromised tooth 21
Pre-surgical clinical situation. Deep gingival recessions at both upper canine.
Pre-surgical situation. Multiple adjacent gingival recessions at teeth 12, 13 and 14.
Multiple adjacent gingival recessions.
X-ray shows a 3-dimensional periondontal defect
Initial clinical situation with lack of keratinized tissue
Bone defect in area 11-21 due to two lost implants (periimplantitis) after 15 years of function
X-ray showing endodontic failure of the molar
X-ray of initial clinical situation
Initial clinical situation
Alveolar socket before soft and hard tissue augmentation
Clinical situation before surgery
Initial clinical situation
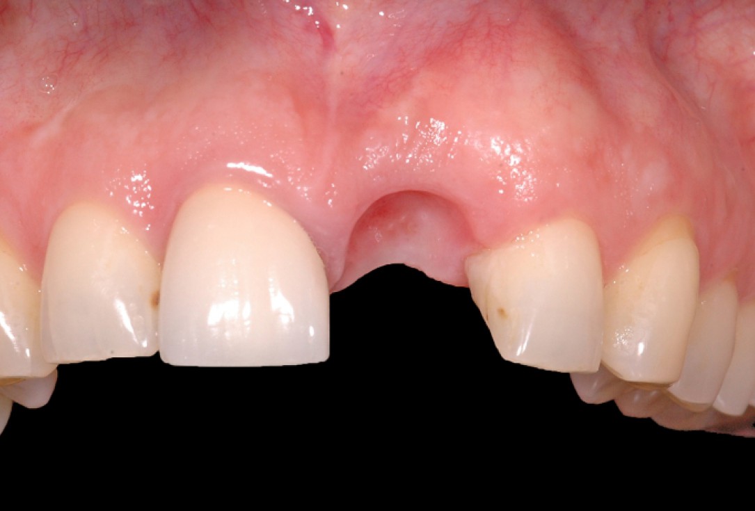
Initial clinical situation with traumatic loss of tooth 21
Tooth extraction due to root fracture

















