-
01/14 - Clinical situation
Bone augmentation in the aesthetic zone with maxgraft® bonering and L-PRF™ - Drs. B. Giesenhagen, O. Yüksel, A. Seyfer
-
02/14 - Preparation of platelet rich fibrin (L-PRF™)
Bone augmentation in the aesthetic zone with maxgraft® bonering and L-PRF™ - Drs. B. Giesenhagen, O. Yüksel, A. Seyfer
-
03/14 - Clinical situation in situ
Bone augmentation in the aesthetic zone with maxgraft® bonering and L-PRF™ - Drs. B. Giesenhagen, O. Yüksel, A. Seyfer
-
04/14 - Placement of maxgraft® bonering
Bone augmentation in the aesthetic zone with maxgraft® bonering and L-PRF™ - Drs. B. Giesenhagen, O. Yüksel, A. Seyfer
-
05/14 - Implantation and ring bed preparation of second site
Bone augmentation in the aesthetic zone with maxgraft® bonering and L-PRF™ - Drs. B. Giesenhagen, O. Yüksel, A. Seyfer
-
06/14 - Second maxgraft® bonering and implant placement
Bone augmentation in the aesthetic zone with maxgraft® bonering and L-PRF™ - Drs. B. Giesenhagen, O. Yüksel, A. Seyfer
-
07/14 - Two maxgraft® bonering with implants
Bone augmentation in the aesthetic zone with maxgraft® bonering and L-PRF™ - Drs. B. Giesenhagen, O. Yüksel, A. Seyfer
-
08/14 - Filling up the defect with a bovine bone substitute (cerabone®)
Bone augmentation in the aesthetic zone with maxgraft® bonering and L-PRF™ - Drs. B. Giesenhagen, O. Yüksel, A. Seyfer
-
09/14 - Covering the defect with a collagen membrane (Jason® membrane)
Bone augmentation in the aesthetic zone with maxgraft® bonering and L-PRF™ - Drs. B. Giesenhagen, O. Yüksel, A. Seyfer
-
10/14 - Covering the defect with L-PRF™ membrane to support wound healing
Bone augmentation in the aesthetic zone with maxgraft® bonering and L-PRF™ - Drs. B. Giesenhagen, O. Yüksel, A. Seyfer
-
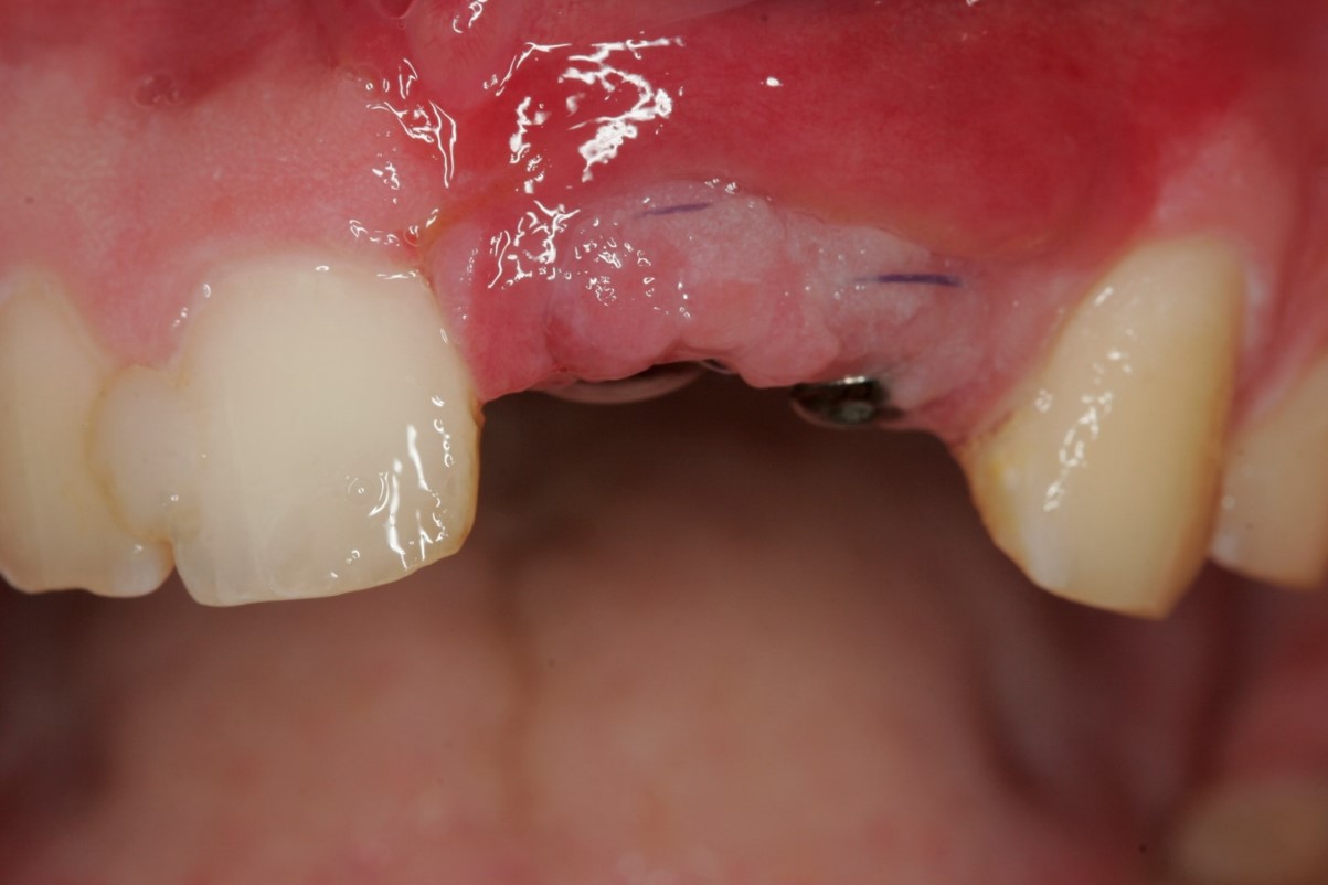
11/14 - Tension-free suturing
Bone augmentation in the aesthetic zone with maxgraft® bonering and L-PRF™ - Drs. B. Giesenhagen, O. Yüksel, A. Seyfer
-
12/14 - Situation at re-entry
Bone augmentation in the aesthetic zone with maxgraft® bonering and L-PRF™ - Drs. B. Giesenhagen, O. Yüksel, A. Seyfer
-
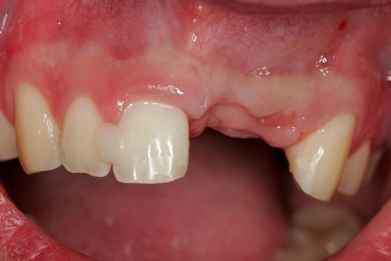
13/14 - Prosthetic restoration
Bone augmentation in the aesthetic zone with maxgraft® bonering and L-PRF™ - Drs. B. Giesenhagen, O. Yüksel, A. Seyfer
-
14/14 - Final prosthetic restoration 1 year after loading
Bone augmentation in the aesthetic zone with maxgraft® bonering and L-PRF™ - Drs. B. Giesenhagen, O. Yüksel, A. Seyfer