Multiple recession coverage with mucoderm® and Straumann® Emdogain® - 4 year follow-up - Prof. G. Zucchelli & Dr. M. Stefanini
-
1/12 - Initial clinical situationMultiple recession coverage with mucoderm® and Straumann® Emdogain® - 4 year follow-up - Prof. G. Zucchelli & Dr. M. Stefanini
-
2/12 - Flap design: coronally advanced envelope type flap for multiple gingival recessionsMultiple recession coverage with mucoderm® and Straumann® Emdogain® - 4 year follow-up - Prof. G. Zucchelli & Dr. M. Stefanini
-
3/12 - Flap elevation: with a split-full split approachMultiple recession coverage with mucoderm® and Straumann® Emdogain® - 4 year follow-up - Prof. G. Zucchelli & Dr. M. Stefanini
-
4/12 - EDTA gel application on the exposed root surfacesMultiple recession coverage with mucoderm® and Straumann® Emdogain® - 4 year follow-up - Prof. G. Zucchelli & Dr. M. Stefanini
-
5/12 - Amelogenins application on the exposed root surfacesMultiple recession coverage with mucoderm® and Straumann® Emdogain® - 4 year follow-up - Prof. G. Zucchelli & Dr. M. Stefanini
-
6/12 - After de-epithelization of the anatomic papillaeMultiple recession coverage with mucoderm® and Straumann® Emdogain® - 4 year follow-up - Prof. G. Zucchelli & Dr. M. Stefanini
-
7/12 - mucoderm® fixationMultiple recession coverage with mucoderm® and Straumann® Emdogain® - 4 year follow-up - Prof. G. Zucchelli & Dr. M. Stefanini
-
8/12 - Occlusal view of the sutured matrixMultiple recession coverage with mucoderm® and Straumann® Emdogain® - 4 year follow-up - Prof. G. Zucchelli & Dr. M. Stefanini
-
9/12 - Occlusal view after flap closure: note complete absence of bleedingMultiple recession coverage with mucoderm® and Straumann® Emdogain® - 4 year follow-up - Prof. G. Zucchelli & Dr. M. Stefanini
-
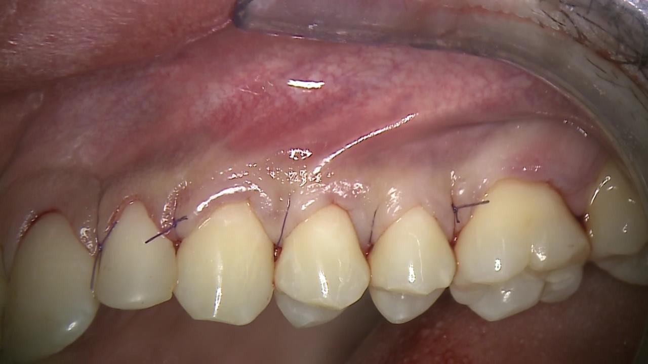
10/12 - Coronally advanced flap closure: note that the matrix is completely covered by the flapMultiple recession coverage with mucoderm® and Straumann® Emdogain® - 4 year follow-up - Prof. G. Zucchelli & Dr. M. Stefanini
-
11/12 - 1 year follow-upMultiple recession coverage with mucoderm® and Straumann® Emdogain® - 4 year follow-up - Prof. G. Zucchelli & Dr. M. Stefanini
-
12/12 - 4 years follow-upMultiple recession coverage with mucoderm® and Straumann® Emdogain® - 4 year follow-up - Prof. G. Zucchelli & Dr. M. Stefanini
Initial view of the case. Discoloration of 1.1 and mild class I gingival recession
Initial clinical situation with Miller class 1 recession
Initial clinical situation
Initial clinical situation
Pre-surgical clinical situation. Deep gingival recessions at both upper canine.
Pre-surgical situation. Multiple adjacent gingival recessions at teeth 12, 13 and 14.
Multiple adjacent gingival recessions.
X-ray shows a 3-dimensional periondontal defect
Initial clinical situation with lack of keratinized tissue
Bone defect in area 11-21 due to two lost implants (periimplantitis) after 15 years of function
Intact socket following atraumatic tooth extraction
Full-thickness flap preparation bucally and lingually
Initial situation: missing teeth #11 & 12 and badly broken #21 root
Drilling template for guided implant placement
Initial clinical situation showing strongly compromised tooth 21
Clinical situation before surgery
Initial clinical situation
Initial clinical situation with traumatic loss of tooth 21
Longitudinal fracture on the root resected tooth 21 with visible buccal fistula
X-ray showing endodontic failure of the molar
X-ray of initial clinical situation
Initial clinical situation
Alveolar socket before soft and hard tissue augmentation
Pre-operative clinical situation. Gingival recessions at teeth 11 and 21.
Gingival recession at tooth 13. Free gingival graft (FGG) of a previous surgery for root coverage visible.
recession on tooth 11
Insufficient keratinized mucosa and extremely shallow vestibule on the maxilla
Initial clinical situation
Tooth extraction due to root fracture











