Full bone regeneration in extraction socket augmented with maxgraft® and Jason® membrane – Dr. C. Landsberg
-
01/16 - Initial clinical situation: 9 mm pocket depth associated with root fractureFull bone regeneration in extraction socket augmented with maxgraft® and Jason® membrane – Dr. C. Landsberg
-
02/16 - Advanced loss of palatal boneFull bone regeneration in extraction socket augmented with maxgraft® and Jason® membrane – Dr. C. Landsberg
-
03/16 - Jason® membrane placed as palatal “wall” supporting the allogenic granules (maxgraft®)Full bone regeneration in extraction socket augmented with maxgraft® and Jason® membrane – Dr. C. Landsberg
-
04/16 - Jason® membrane placed palatally and buccally under the flap, fully covering the grafted socketFull bone regeneration in extraction socket augmented with maxgraft® and Jason® membrane – Dr. C. Landsberg
-
05/16 - PRF membrane placed on top of the pericardium membraneFull bone regeneration in extraction socket augmented with maxgraft® and Jason® membrane – Dr. C. Landsberg
-
06/16 - Flap closure with 6-0 polyamide sutures, no attempt for primary coverageFull bone regeneration in extraction socket augmented with maxgraft® and Jason® membrane – Dr. C. Landsberg
-
07/16 - Clinical situation 2 weeks postoperativelyFull bone regeneration in extraction socket augmented with maxgraft® and Jason® membrane – Dr. C. Landsberg
-
08/16 - 4 months postoperatively: Full tissue coverage, pontic pressure prevents keratinizationFull bone regeneration in extraction socket augmented with maxgraft® and Jason® membrane – Dr. C. Landsberg
-
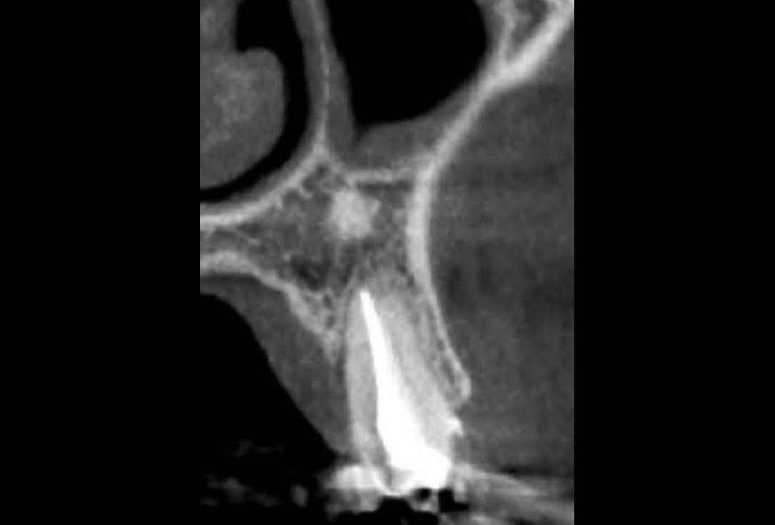
09/16 - 7 months postoperatively: CT scan and clinical view indicate full bone regenerationFull bone regeneration in extraction socket augmented with maxgraft® and Jason® membrane – Dr. C. Landsberg
-
10/16 - 7 months postoperatively: CT scan and clinical view indicate full bone regenerationFull bone regeneration in extraction socket augmented with maxgraft® and Jason® membrane – Dr. C. Landsberg
-
11/16 - 7 months postoperatively: CT scan and clinical view indicate full bone regenerationFull bone regeneration in extraction socket augmented with maxgraft® and Jason® membrane – Dr. C. Landsberg
-
12/16 - Implant placement in fully regenerated boneFull bone regeneration in extraction socket augmented with maxgraft® and Jason® membrane – Dr. C. Landsberg
-
13/16 - Flap closure after implant placementFull bone regeneration in extraction socket augmented with maxgraft® and Jason® membrane – Dr. C. Landsberg
-
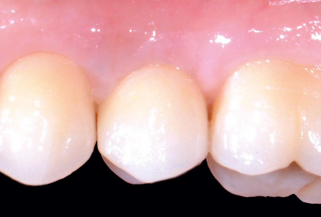
14/16 - Final prosthetic restoration with Zirconia crown at 1 year follow up (Prosthodontist: Dr. Elie Sawdayee)Full bone regeneration in extraction socket augmented with maxgraft® and Jason® membrane – Dr. C. Landsberg
-
15/16 - Final prosthetic restoration with Zirconia crown at 1 year follow up (Prosthodontist: Dr. Elie Sawdayee)Full bone regeneration in extraction socket augmented with maxgraft® and Jason® membrane – Dr. C. Landsberg
-
16/16 - Radiologic situation at 1 year follow upFull bone regeneration in extraction socket augmented with maxgraft® and Jason® membrane – Dr. C. Landsberg
Situation after tooth removal.
Pre-operative radiographic view.
Three implants placed in a narrow posterior mandible
Initial clinical situation with single tooth gap in regio 21
Initial clinical situation with broken bridge abutment in regio 12 and tooth 21 not worth preserving
Initial clinical situation.
Initial situation 57-year old female patient. X-ray scan reveals severe bone loss due to inflammation in region 13. Treatment plan was extraction of teeth 13 and 14 and augmentation after healing.
X-ray control showing initial situation
Clinical situation
Pre-operative clinical situation: severe atrophy of the maxillary bone
Pre-op picture of affected teeth 11 and 21
Pre-surgical situation. Teeth 26 and 27 missing.
Instable bridge situation with abscess formation at tooth #15 after apicoectomy
Implant insertion in atrophic alveolar ridge
Initial situation after root channel treatment
Initial situation pre-op: Central incisors with mobility 3
Initial clinical situation, regio #16
Lateral view of the defect in the posterior right maxilla.
Preoperative radiological situation
Initial x-ray showing bone loss around implants placed 5 years ago in another dental clinic
Extraction of tooth 21 after endodontic treatment
Initial clinical situation with gum recession and labial bone loss eight weeks following tooth extraction
Preoperative clinical situation
Situation after tooth extraction.
Initial clinical situation
Initial situation after extraction of tooth 21 after 6 months
Bone defect in area 11-21 due to two lost implants (periimplantitis) after 15 years of function
Model of the initial defect computed from a CBCT scan - buccal view















