-
1/23 - Treatment overview – implant planning
Full arch reconstruction of the maxilla with maxgraft® bonebuilder - Dr. M. Erbshäuser
-
2/23 - Preoperative radiological situation – severely atrophic maxilla
Full arch reconstruction of the maxilla with maxgraft® bonebuilder - Dr. M. Erbshäuser
-
3/23 - Preoperative radiological situation – severely atrophic maxilla
Full arch reconstruction of the maxilla with maxgraft® bonebuilder - Dr. M. Erbshäuser
-
4/23 - Preoperative radiological situation – severely atrophic maxilla
Full arch reconstruction of the maxilla with maxgraft® bonebuilder - Dr. M. Erbshäuser
-
5/23 - 3D-Reconstruction of the maxilla including two maxgraft® bonebuilder blocks
Full arch reconstruction of the maxilla with maxgraft® bonebuilder - Dr. M. Erbshäuser
-
6/23 - Milled maxgraft® bonebuilder blocks
Full arch reconstruction of the maxilla with maxgraft® bonebuilder - Dr. M. Erbshäuser
-
7/23 - Preparation of the augmentation area with external sinus floor elevation on both sites using cerabone®
Full arch reconstruction of the maxilla with maxgraft® bonebuilder - Dr. M. Erbshäuser
-
8/23 - Fixation of the first maxgraft® bonebuilder with osteosynthesis screws
Full arch reconstruction of the maxilla with maxgraft® bonebuilder - Dr. M. Erbshäuser
-
9/23 - Fixation of the second maxgraft® bonebuilder
Full arch reconstruction of the maxilla with maxgraft® bonebuilder - Dr. M. Erbshäuser
-
10/23 - Tension-free and saliva-proof wound closure
Full arch reconstruction of the maxilla with maxgraft® bonebuilder - Dr. M. Erbshäuser
-
11/23 - Radiological situation after augmentation
Full arch reconstruction of the maxilla with maxgraft® bonebuilder - Dr. M. Erbshäuser
-
12/23 - Radiological situation after augmentation
Full arch reconstruction of the maxilla with maxgraft® bonebuilder - Dr. M. Erbshäuser
-
13/23 - Radiological situation after augmentation
Full arch reconstruction of the maxilla with maxgraft® bonebuilder - Dr. M. Erbshäuser
-
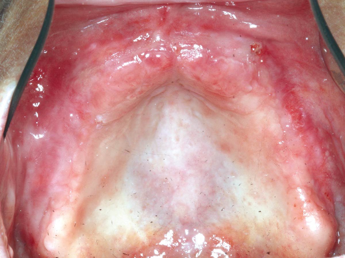
14/23 - Six weeks follow-up – uneventful wound healing
Full arch reconstruction of the maxilla with maxgraft® bonebuilder - Dr. M. Erbshäuser
-
15/23 - Implant insertion after six months: four Straumann® Bone Level SLA® 4.1 mm implants
Full arch reconstruction of the maxilla with maxgraft® bonebuilder - Dr. M. Erbshäuser
-
16/23 - X-ray after implant placement
Full arch reconstruction of the maxilla with maxgraft® bonebuilder - Dr. M. Erbshäuser
-
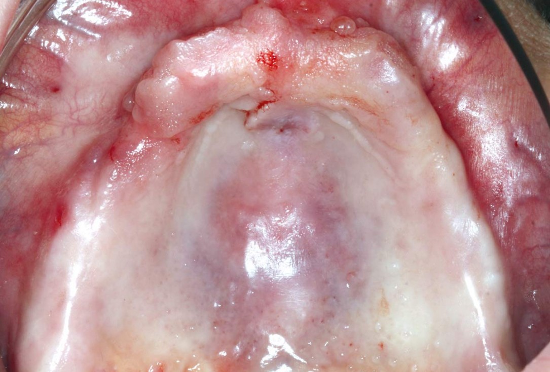
17/23 - Six months follow-up – stable situation
Full arch reconstruction of the maxilla with maxgraft® bonebuilder - Dr. M. Erbshäuser
-
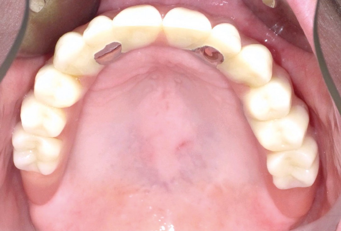
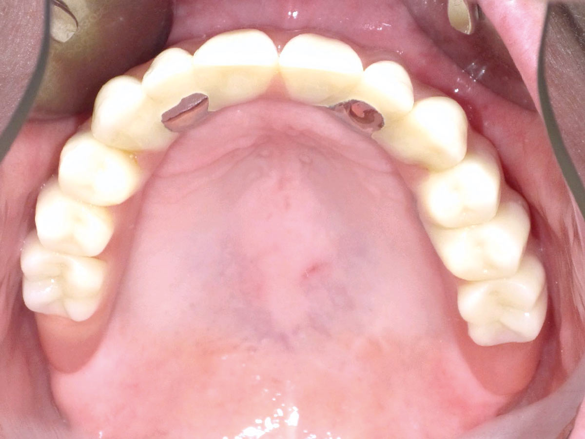
18/23 - Six months follow-up – stable situation
Full arch reconstruction of the maxilla with maxgraft® bonebuilder - Dr. M. Erbshäuser
-
19/23 - Final prosthetics – one-year follow-up
Full arch reconstruction of the maxilla with maxgraft® bonebuilder - Dr. M. Erbshäuser
-
20/23 - Final prosthetics – one-year follow-up
Full arch reconstruction of the maxilla with maxgraft® bonebuilder - Dr. M. Erbshäuser
-
21/23 - Telescopic prosthesis
Full arch reconstruction of the maxilla with maxgraft® bonebuilder - Dr. M. Erbshäuser
-
22/23 - Final aesthetic result one year post implantation
Full arch reconstruction of the maxilla with maxgraft® bonebuilder - Dr. M. Erbshäuser
-
23/23 - Final x-ray one year after implantation 12/15/22/25
Full arch reconstruction of the maxilla with maxgraft® bonebuilder - Dr. M. Erbshäuser