Sinus Floor Elevation with maxgraft® bonering - Dr. B. Giesenhagen

Vertical augmentation and sinus lift with maxgraft® bonering - Dr. O. Yüksel and Dr. B. Giesenhagen

Vertical augmentation: Preparation of ring bed in atrophic mandibula (third quadrant)

Guided bone ring procedure in aesthetic zone - Dr. K. Chmielewski & Dr. O. Yükse

Planning the surgery with CoDiagnostix® for Straumann® Guided Surgery

Periimplantitis treatment with maxgraft® bonering - Dr. B. Giesenhagen

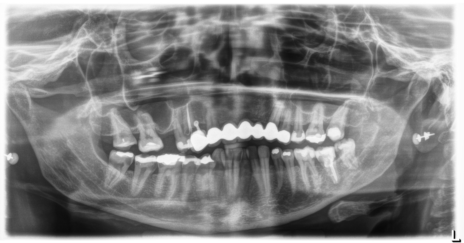
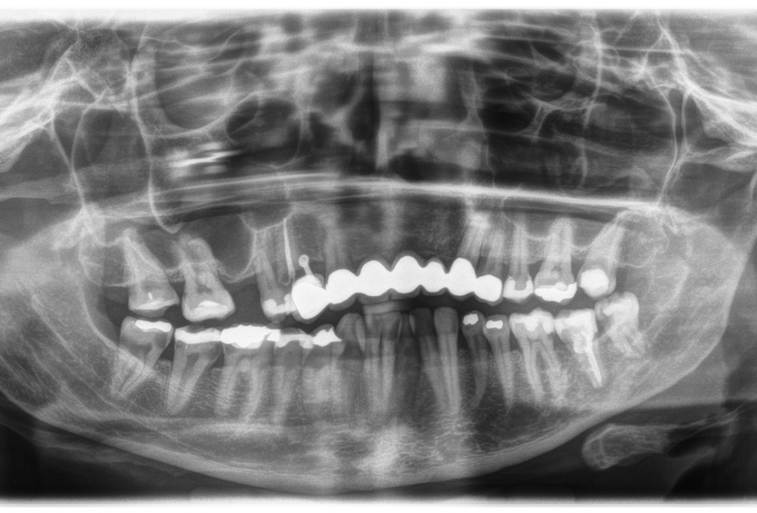
Severe periimplantitis at tooth 15 with bone loss up to 1/3 of the implant

Sinus Floor Elevation with maxgraft® bonering and subcrestal implantation in an eggshell thin sinus - Dr. K. Chmielewski

Initial situation: X-ray scan reveals eggshell thin sinus floor (1-3 mm) on both sites of the maxilla; green areas indicate the planned maxgraft® bonerings and red areas the planned implants

bone augmentation in the aesthetic zone with maxgraft® bonering -Dr. R. Cutts

Clinical situation: 71-old patient with atrial fibrillation and Warfarin medication

Restoration of all four incisors with two maxgraft® bonering - Dr. B Giesenhagen

Initial situation pre-op: Central incisors with mobility 3

Augmentation of buccal and lingual bone lamella with maxgraft® bonering - Dr. B. Giesenhagen

X-ray scan: initial situation loss of two wall bony defect with loss of buccal and lingual lamella

Bone augmentation in the aesthetic zone with maxgraft® bonering – Dr. R. Cutts

Initial presentation of failing post retained crown with previous history of failed apicectomies and amalgam tattooing and scar tissue

Restoration of buccal layer with maxgraft® bonering - A. Patel

Initial situation: missing incisor with loss of buccal wall

Advanced vertical augmentation in posterior maxilla with maxgraft® bonering - Dr. A. Isser

Initial situation 57-year old female patient. X-ray scan reveals severe bone loss due to inflammation in region 13. Treatment plan was extraction of teeth 13 and 14 and augmentation after healing.

Restoration of buccal bone lamella in aesthetic zone with maxgraft® bonering - Dr. A. Patel

Initial situation: bone loss due to lack of physical load of bridge retained region 11