-
1/21 - Initial situation: bone loss due to lack of physical load of bridge retained region 11
Restoration of buccal bone lamella in aesthetic zone with maxgraft® bonering - Dr. A. Patel
-
2/21 - Crestal view reveals bone loss due to lack of physical load
Restoration of buccal bone lamella in aesthetic zone with maxgraft® bonering - Dr. A. Patel
-
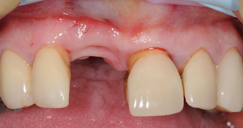
3/21 - Clinical situation at time of entry: loss of buccal bone lamella
Restoration of buccal bone lamella in aesthetic zone with maxgraft® bonering - Dr. A. Patel
-
4/21 - Pilot drill to determine later implant position
Restoration of buccal bone lamella in aesthetic zone with maxgraft® bonering - Dr. A. Patel
-
5/21 - Trephine drill 7 mm for maxgraft® bonering 7 mm
Restoration of buccal bone lamella in aesthetic zone with maxgraft® bonering - Dr. A. Patel
-
6/21 - After preparing the bone bed with the planator, the necessary length of maxgraft® bonering is estimated
Restoration of buccal bone lamella in aesthetic zone with maxgraft® bonering - Dr. A. Patel
-
7/21 - Cutting maxgraft® bonering to the required size
Restoration of buccal bone lamella in aesthetic zone with maxgraft® bonering - Dr. A. Patel
-
8/21 - Implant bed preparation through maxgraft® bonering
Restoration of buccal bone lamella in aesthetic zone with maxgraft® bonering - Dr. A. Patel
-
9/21 - Placing the implant in order to fixate maxgraft® bonering
Restoration of buccal bone lamella in aesthetic zone with maxgraft® bonering - Dr. A. Patel
-
10/21 - Smoothing the edges of maxgraft® bonering
Restoration of buccal bone lamella in aesthetic zone with maxgraft® bonering - Dr. A. Patel
-
11/21 - maxgraft® bonering and implant in place
Restoration of buccal bone lamella in aesthetic zone with maxgraft® bonering - Dr. A. Patel
-
12/21 - PrefGel applied as root surface conditioner prior Straumann® Emdogain®
Restoration of buccal bone lamella in aesthetic zone with maxgraft® bonering - Dr. A. Patel
-
13/21 - Application of Straumann® Emdogain® for regeneration of bone around the roots of adjacent teeth
Restoration of buccal bone lamella in aesthetic zone with maxgraft® bonering - Dr. A. Patel
-
14/21 - cerabone® for contouring the defect and protection against resorption
Restoration of buccal bone lamella in aesthetic zone with maxgraft® bonering - Dr. A. Patel
-
15/21 - Mobilization of soft tissue; double layered
Restoration of buccal bone lamella in aesthetic zone with maxgraft® bonering - Dr. A. Patel
-
16/21 - Jason® membrane to protect the bone graft from soft tissue ingrowth
Restoration of buccal bone lamella in aesthetic zone with maxgraft® bonering - Dr. A. Patel
-
17/21 - Flap is sutured with mattress suture to prevent micromovements of the grafted area
Restoration of buccal bone lamella in aesthetic zone with maxgraft® bonering - Dr. A. Patel
-
18/21 - Tension-free suturing
Restoration of buccal bone lamella in aesthetic zone with maxgraft® bonering - Dr. A. Patel
-
19/21 - Rest of Straumann® Emdogain® applied to support wound healing
Restoration of buccal bone lamella in aesthetic zone with maxgraft® bonering - Dr. A. Patel
-
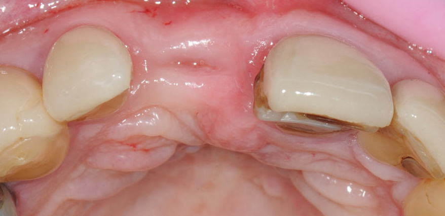
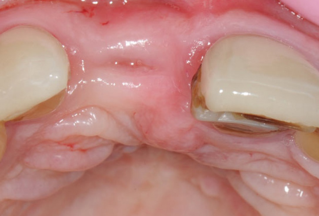
20/21 - Four weeks after surgery: eventless healing and healthy soft tissue
Restoration of buccal bone lamella in aesthetic zone with maxgraft® bonering - Dr. A. Patel
-
21/21 - Prosthetic restoration 6 months after surgery
Restoration of buccal bone lamella in aesthetic zone with maxgraft® bonering - Dr. A. Patel