Block grafting in the aesthetic zone with maxgraft®, Jason® membrane and cerabone® - Dres. H. Maghaireh and V. Ivancheva
-
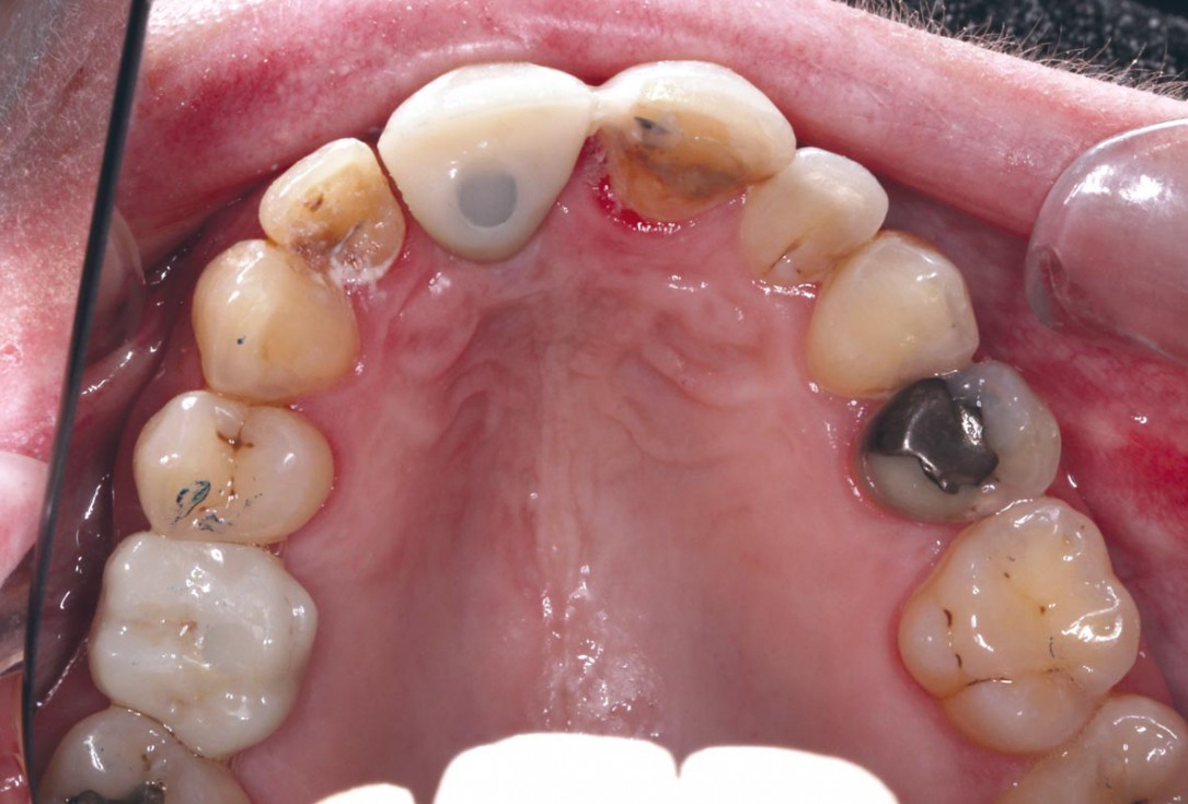
1/35 - Initial situation – Treatment plan: Replace the adhesive upper left central incisor bridge with a dental implantBlock grafting in the aesthetic zone with maxgraft®, Jason® membrane and cerabone® - Dres. H. Maghaireh and V. Ivancheva
-
2/35 - Advanced bone loss after traumatic tooth loss more than 10 years agoBlock grafting in the aesthetic zone with maxgraft®, Jason® membrane and cerabone® - Dres. H. Maghaireh and V. Ivancheva
-
3/35 - CBCT: Advanced bone loss after traumatic tooth loss more than 10 years agoBlock grafting in the aesthetic zone with maxgraft®, Jason® membrane and cerabone® - Dres. H. Maghaireh and V. Ivancheva
-
4/35 - Patient used to have a diastema in the area which she no longer wanted to be recreated. Treatment plan: implant for UL1 and a veneer for the UR1 to match the space analysis and achieve acceptable and symmetrical aesthetic outcomeBlock grafting in the aesthetic zone with maxgraft®, Jason® membrane and cerabone® - Dres. H. Maghaireh and V. Ivancheva
-
5/35 - Three-sided full thickness flap and cleaning the surgical area from the granulation tissueBlock grafting in the aesthetic zone with maxgraft®, Jason® membrane and cerabone® - Dres. H. Maghaireh and V. Ivancheva
-
6/35 - Three-sided full thickness flap and cleaning the surgical area from the granulation tissueBlock grafting in the aesthetic zone with maxgraft®, Jason® membrane and cerabone® - Dres. H. Maghaireh and V. Ivancheva
-
7/35 - Shaping and preparing the uni-cortical maxgraft® block using straight hand-piece under copious irrigation to fit the surgical field and to ensure good adaptationBlock grafting in the aesthetic zone with maxgraft®, Jason® membrane and cerabone® - Dres. H. Maghaireh and V. Ivancheva
-
8/35 - Shaping and preparing the uni-cortical maxgraft® block using straight hand-piece under copious irrigation to fit the surgical field and to ensure good adaptationBlock grafting in the aesthetic zone with maxgraft®, Jason® membrane and cerabone® - Dres. H. Maghaireh and V. Ivancheva
-
9/35 - Stabilisation of the bone block with two 10 mm fixation screws placed oblique. Sharp edges of the block were polished to avoid defeasance in the soft tissue healingBlock grafting in the aesthetic zone with maxgraft®, Jason® membrane and cerabone® - Dres. H. Maghaireh and V. Ivancheva
-
10/35 - Stabilisation of the bone block with two 10 mm fixation screws placed oblique. Sharp edges of the block were polished to avoid defeasance in the soft tissue healingBlock grafting in the aesthetic zone with maxgraft®, Jason® membrane and cerabone® - Dres. H. Maghaireh and V. Ivancheva
-
11/35 - Layer of maxgraft® cancellous particles used to fill any gaps and to allow smooth contour medially and distally and covering with Jason® membraneBlock grafting in the aesthetic zone with maxgraft®, Jason® membrane and cerabone® - Dres. H. Maghaireh and V. Ivancheva
-
12/35 - Layer of maxgraft® cancellous particles used to fill any gaps and to allow smooth contour medially and distally and covering with Jason® membraneBlock grafting in the aesthetic zone with maxgraft®, Jason® membrane and cerabone® - Dres. H. Maghaireh and V. Ivancheva
-
13/35 - Soft tissue adjustment - frenulum adjustment and muco-periosteal release to achieve full closure under no tension to allow the flap margins to heal with primary intensionBlock grafting in the aesthetic zone with maxgraft®, Jason® membrane and cerabone® - Dres. H. Maghaireh and V. Ivancheva
-
14/35 - Soft tissue adjustment - frenulum adjustment and muco-periosteal release to achieve full closure under no tension to allow the flap margins to heal with primary intensionBlock grafting in the aesthetic zone with maxgraft®, Jason® membrane and cerabone® - Dres. H. Maghaireh and V. Ivancheva
-
15/35 - Flap closure using 5/0 monofilaments Prolene suturesBlock grafting in the aesthetic zone with maxgraft®, Jason® membrane and cerabone® - Dres. H. Maghaireh and V. Ivancheva
-
16/35 - Flap closure using 5/0 monofilaments Prolene suturesBlock grafting in the aesthetic zone with maxgraft®, Jason® membrane and cerabone® - Dres. H. Maghaireh and V. Ivancheva
-
17/35 - Six months healing period was allowed - healthy soft tissue contour, satisfactory convexityBlock grafting in the aesthetic zone with maxgraft®, Jason® membrane and cerabone® - Dres. H. Maghaireh and V. Ivancheva
-
18/35 - Six months healing period was allowed - healthy soft tissue contour, satisfactory convexityBlock grafting in the aesthetic zone with maxgraft®, Jason® membrane and cerabone® - Dres. H. Maghaireh and V. Ivancheva
-
19/35 - Post op CBCT shows well integrated and remodelled bone block with sufficient augmentationBlock grafting in the aesthetic zone with maxgraft®, Jason® membrane and cerabone® - Dres. H. Maghaireh and V. Ivancheva
-
20/35 - Post op CBCT shows well integrated and remodelled bone block with sufficient augmentationBlock grafting in the aesthetic zone with maxgraft®, Jason® membrane and cerabone® - Dres. H. Maghaireh and V. Ivancheva
-
21/35 - Osteotomy prepared revealing a well integrated and nourished bone block. Prostheticly driven implant placement (Straumann Roxolid BLT - RC 4.1x 10 mm) - using a pre-fabricated surgical guide of the approved wax upBlock grafting in the aesthetic zone with maxgraft®, Jason® membrane and cerabone® - Dres. H. Maghaireh and V. Ivancheva
-
22/35 - Osteotomy prepared revealing a well integrated and nourished bone blockBlock grafting in the aesthetic zone with maxgraft®, Jason® membrane and cerabone® - Dres. H. Maghaireh and V. Ivancheva
-
23/35 - Implant is placed 3 mm away from the cementoenamel junction. Good primary stability was achieved with a torque of 35 Nom at placement and good block integrationBlock grafting in the aesthetic zone with maxgraft®, Jason® membrane and cerabone® - Dres. H. Maghaireh and V. Ivancheva
-
24/35 - 4.5 mm diameter x 4 mm height healing abutmentBlock grafting in the aesthetic zone with maxgraft®, Jason® membrane and cerabone® - Dres. H. Maghaireh and V. Ivancheva
-
25/35 - GBR at the time of the implant placement - added cerabone® 0.5 cc small particles to increase the convexity and insure stability of the soft tissue. Jason® membrane stabilised with titanium pins and sutured palatallyBlock grafting in the aesthetic zone with maxgraft®, Jason® membrane and cerabone® - Dres. H. Maghaireh and V. Ivancheva
-
26/35 - GBR at the time of the implant placement - added cerabone® 0.5 cc small particles to increase the convexity and insure stability of the soft tissue. Jason® membrane stabilised with titanium pins and sutured palatallyBlock grafting in the aesthetic zone with maxgraft®, Jason® membrane and cerabone® - Dres. H. Maghaireh and V. Ivancheva
-
27/35 - Exposure of the UL1 implant and fitting a chair side temporary crownBlock grafting in the aesthetic zone with maxgraft®, Jason® membrane and cerabone® - Dres. H. Maghaireh and V. Ivancheva
-
28/35 - Exposure of the UL1 implant and fitting a chair side temporary crownBlock grafting in the aesthetic zone with maxgraft®, Jason® membrane and cerabone® - Dres. H. Maghaireh and V. Ivancheva
-
29/35 - Final implant impression with Straumann RC customised impression pick up with an open tray for final screw retained implant crown on UL1 and Porcelain veneer on UR1Block grafting in the aesthetic zone with maxgraft®, Jason® membrane and cerabone® - Dres. H. Maghaireh and V. Ivancheva
-
30/35 - Final implant impression with Straumann RC customised impression pick up with an open tray for final screw retained implant crown on UL1 and Porcelain veneer on UR1Block grafting in the aesthetic zone with maxgraft®, Jason® membrane and cerabone® - Dres. H. Maghaireh and V. Ivancheva
-
31/35 - Final fit of final screw retained implant crown with CAD/CAM Ti abutment on UL1 and Porcelain veneer on UR1. Lab work was provided by Ceramist Guglielmo Parziale - Napoli - ItalyBlock grafting in the aesthetic zone with maxgraft®, Jason® membrane and cerabone® - Dres. H. Maghaireh and V. Ivancheva
-
32/35 - 5 years clinical review – stable outcomeBlock grafting in the aesthetic zone with maxgraft®, Jason® membrane and cerabone® - Dres. H. Maghaireh and V. Ivancheva
-
33/35 - 5 y post op CBCT - Axial view at the coronal 2mm levelBlock grafting in the aesthetic zone with maxgraft®, Jason® membrane and cerabone® - Dres. H. Maghaireh and V. Ivancheva
-
34/35 - 5 y post op CBCT - Coronal view showing the upper left central incisor implantBlock grafting in the aesthetic zone with maxgraft®, Jason® membrane and cerabone® - Dres. H. Maghaireh and V. Ivancheva
-
35/35 - 5 y post OP CBCT -Sagittal viewBlock grafting in the aesthetic zone with maxgraft®, Jason® membrane and cerabone® - Dres. H. Maghaireh and V. Ivancheva
Clinical situation of the edentulous distal maxilla before the surgery
Situation before augmentation, atrophic alveolar ridge
Instable bridge situation with abscess formation at tooth #15 after apicoectomy
Clinical situation with narrow alveolar ridge in the lower jaw
Initial clinical situation with single tooth gap in regio 21
Pre-operative radiographic view.
Clinical situation before surgery
Initial situation pre-op: Central incisors with mobility 3
Situation after tooth extraction.
Initial clinical situation
Initial situation after extraction of tooth 21 after 6 months
Pre-surgical situation. Teeth 26 and 27 missing.
Pre-operative X-ray. Hopless tooth 21.
Pre-operative situation showing tooth 21 with deep periodontal pocket. Tooth presented with mobility grade III.
Initial situation: missing teeth #11 & 12 and badly broken #21 root
Preoperative radiological situation
Initial clinical situation. Atrophic maxillary ridge.
Initial clinical situation.
Initial situation with fractured central incisors
Preoperative CBCT: vertical bone defects in the 3rd & 4th quadrant
Initial clinical situation with pronounced vertical and horizontal bone defect
The patient presented with a terminal fracture of the crown tooth number 12
Initial clinical situation - Central incisors with dental destruction and periapical pathology
47 years old patient referred by another dentist after suffering a fall while fishing
Initial situation at position #16
Probing demonstrates peri-implant pocket depth of 8 mm
Situation before extraction with single tooth crowns on 21 and 22
Clinical situation before extraction and implantation
Three implants placed in a narrow posterior mandible
Preoperative clinical situation
Initial clinical situation with broken bridge abutment in regio 12 and tooth 21 not worth preserving
Pre-operative clinical situation.
Initial situation: 40 year old female patient with extensive scar tissue after several surgeries restored with a Rochette bridge
Initial situation 57-year old female patient. X-ray scan reveals severe bone loss due to inflammation in region 13. Treatment plan was extraction of teeth 13 and 14 and augmentation after healing.
Initial clinical situation.
Initial situation: X-ray scan reveals eggshell thin sinus floor (1-3 mm) on both sites of the maxilla; green areas indicate the planned maxgraft® bonerings and red areas the planned implants
Pre-operative OPG shows deep vertical intrabony defects on the distal aspects of teeth 13 and 14.
Extraction socket grafted with cerabone.
Grafting of the extraction socket with small cerabone® granules.
Lateral view of the defect in the posterior right maxilla.
Initial view of the case. Discoloration of 1.1 and mild class I gingival recession
Clinical view of the case.
The patient presented with pathologic mobility of upper left central incisor. Radiographic examination revealed significant circumferential attachment loss with an unfavorable crown to root ratio.
Initial situation – Treatment plan: Replace the adhesive upper left central incisor bridge with a dental implant
Initial presentation of failing post retained crown with previous history of failed apicectomies and amalgam tattooing and scar tissue
Initial situation with broken tooth 46
Clinical view 8 weeks after extraction of teeth 25 and 26
Initial x-ray, tooth 25 compromised and to be extracted
Preoperative x-ray, severe bone atrophy
Loss of teeth in anterior maxilla caused by periodontitis
Preoperative CBCT analysis
Atrophic alveolar ridge in the left mandible
Extraction of tooth 21 after endodontic treatment
Implant insertion in atrophic alveolar ridge
Clinical situation before augmentation
Pre-surgical probing reveals a deep intrabony defect on the distal aspect of the upper canine.
Pre-operative radiographic view. Intrabony defect on the distal aspect of the lateral incisor.
Pre-operative radiograph. Intrabony defect on the mesial aspect of tooth 14.
recession on tooth 11
Initial clinical situation with gum recession and labial bone loss eight weeks following tooth extraction
Initial clinical situation showing bone wall defect.
Initial clinical situation, regio #16
OPG of the initial situation – provision of missing denture in regio 44 to 47 by a resin-retained bridge
Situation after tooth removal.
Initial clinical situation: Bone defect in the upper right maxilla (teeth #14-16)
Pre-op picture of affected teeth 11 and 21
Initial view of the clinical case: Class III malocclusion
Treatment plan: Regenerative corticotomy (PAOO)
Initial clinical situation.
Pre-surgical situation.
Intra-operative view.
Initial clinical situation.
Initial situation - A young female 34 years old lost her front teeth in an surfing accident and she had a 5 unit bridge supported by her upper left lateral and right canine. The restoration failed and both supporting crowns have exposed and leaking margins.
Initial x-ray showing bone loss around implants placed 5 years ago in another dental clinic
Initial CBCT scan - Fracture of left maxillary incisor and loss of buccal wall
Pre-operative: loss of interdental papilla between 12 and 11 associated with gingival inflammation and pus
Preoperative x-ray, multiple residual cysts of the upper jaw
The patient presented with severe pain in the lateral incisor and a deficient adhesive provisional. Bruxism resulted in canine loss and premature contact in the lateral incisor.
Initial situation: Exposure of tooth root in position 27


































