-
- Pre-operative radiograph. Intrabony defect on the mesial aspect of tooth 14.
Non-contained intrabony defect treated using cerabone®, collprotect® membrane and Straumann® Emdogain® - Dr. T. Schwaar (1)
-
02/11 - Pre-operative radiograph. Deep intrabony defect on the mesial aspect of tooth 14.
Non-contained intrabony defect treated using cerabone®, collprotect® membrane and Straumann® Emdogain® - Dr. T. Schwaar (1)
-
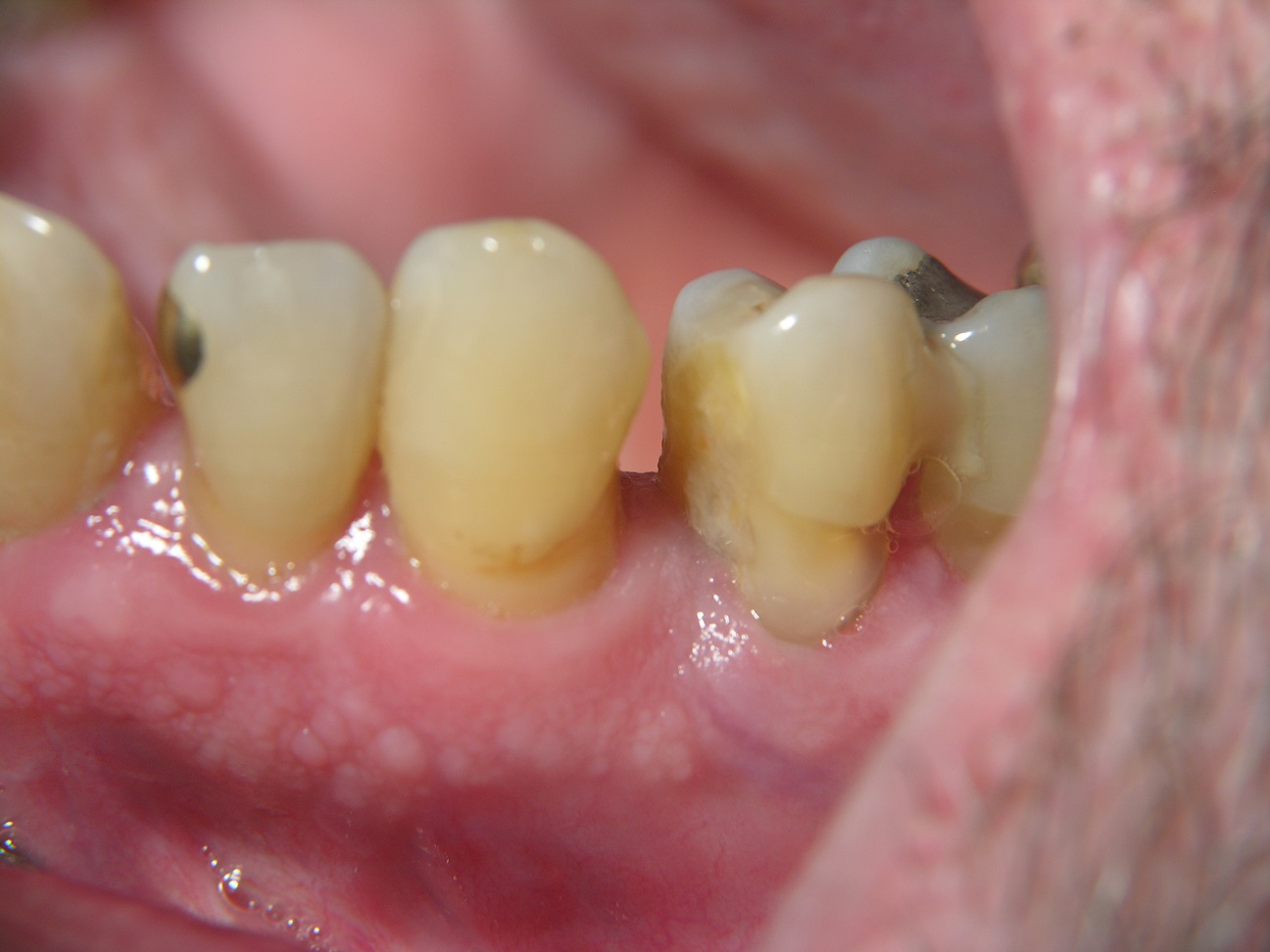
03/11 - Pre-surgical clinical situation.
Non-contained intrabony defect treated using cerabone®, collprotect® membrane and Straumann® Emdogain® - Dr. T. Schwaar (1)
-
04/11 - Probing pocket depth of 12 mm mesially at tooth 14.
Non-contained intrabony defect treated using cerabone®, collprotect® membrane and Straumann® Emdogain® - Dr. T. Schwaar (1)
-
05/11 - 1- to 2-wall intrabony defect at the mesio-palatal aspect of tooth 14.
Non-contained intrabony defect treated using cerabone®, collprotect® membrane and Straumann® Emdogain® - Dr. T. Schwaar (1)
-
06/11 - After granulation tissue removal, treatment of the root surface with Straumann® Emdogain®.
Non-contained intrabony defect treated using cerabone®, collprotect® membrane and Straumann® Emdogain® - Dr. T. Schwaar (1)
-
07/11 - Root surface covered with collprotect® membrane.
Non-contained intrabony defect treated using cerabone®, collprotect® membrane and Straumann® Emdogain® - Dr. T. Schwaar (1)
-
08/11 - Defect grafted with small cerabone® granules.
Non-contained intrabony defect treated using cerabone®, collprotect® membrane and Straumann® Emdogain® - Dr. T. Schwaar (1)
-
09/11 - cerabone® granules covered with collprotect® membrane.
Non-contained intrabony defect treated using cerabone®, collprotect® membrane and Straumann® Emdogain® - Dr. T. Schwaar (1)
-
10/11 - Suturing.
Non-contained intrabony defect treated using cerabone®, collprotect® membrane and Straumann® Emdogain® - Dr. T. Schwaar (1)
-
11/11 - Radiographic control 5 months post-operative.
Non-contained intrabony defect treated using cerabone®, collprotect® membrane and Straumann® Emdogain® - Dr. T. Schwaar (1)