Delayed implant placement with GBR and soft tissue augmentation at the aesthetic area - 2 years follow up – Dr. H. Maghaireh & Dr. V. Ivancheva

Implant placement and bone augmentation in the aesthetic zone using maxgraft® and permamem® - Dr. A. Puišys

Implant placed in the deficient site. permamem® in place for covering.

Block grafting in the aesthetic zone with maxgraft®, Jason® membrane and cerabone® - Dres. H. Maghaireh and V. Ivancheva

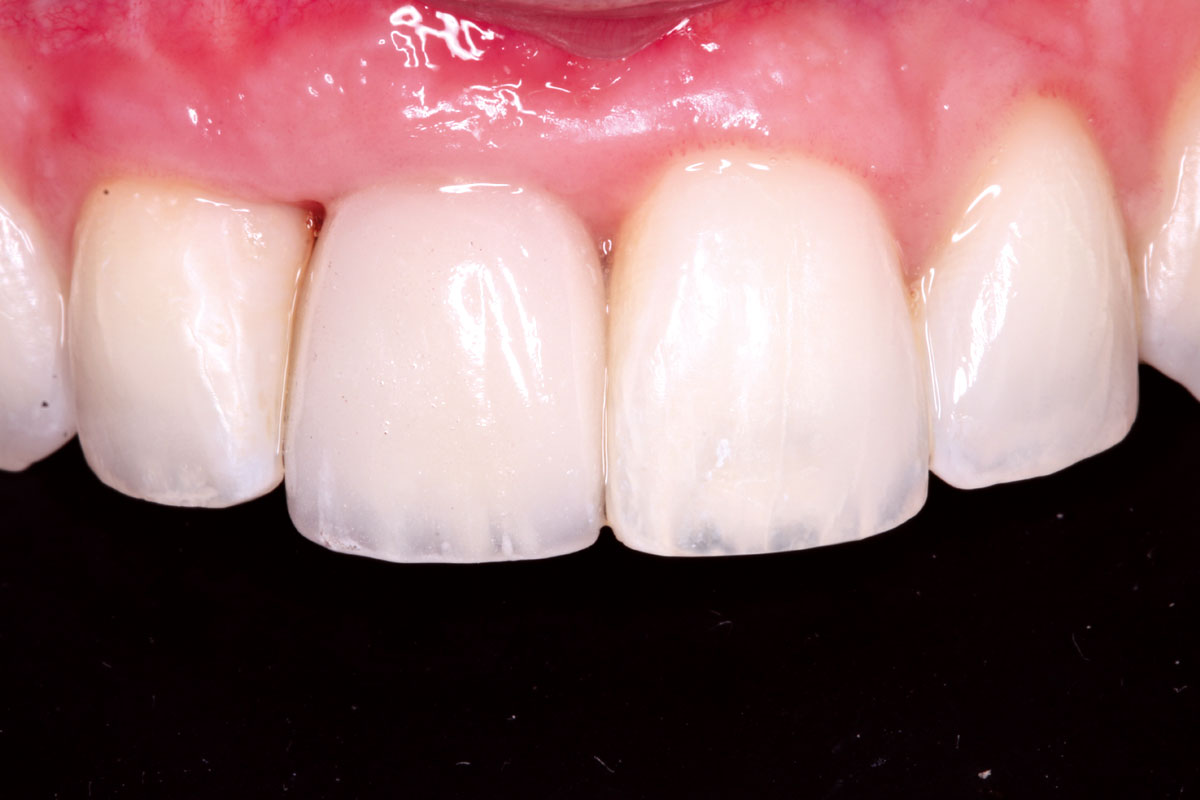
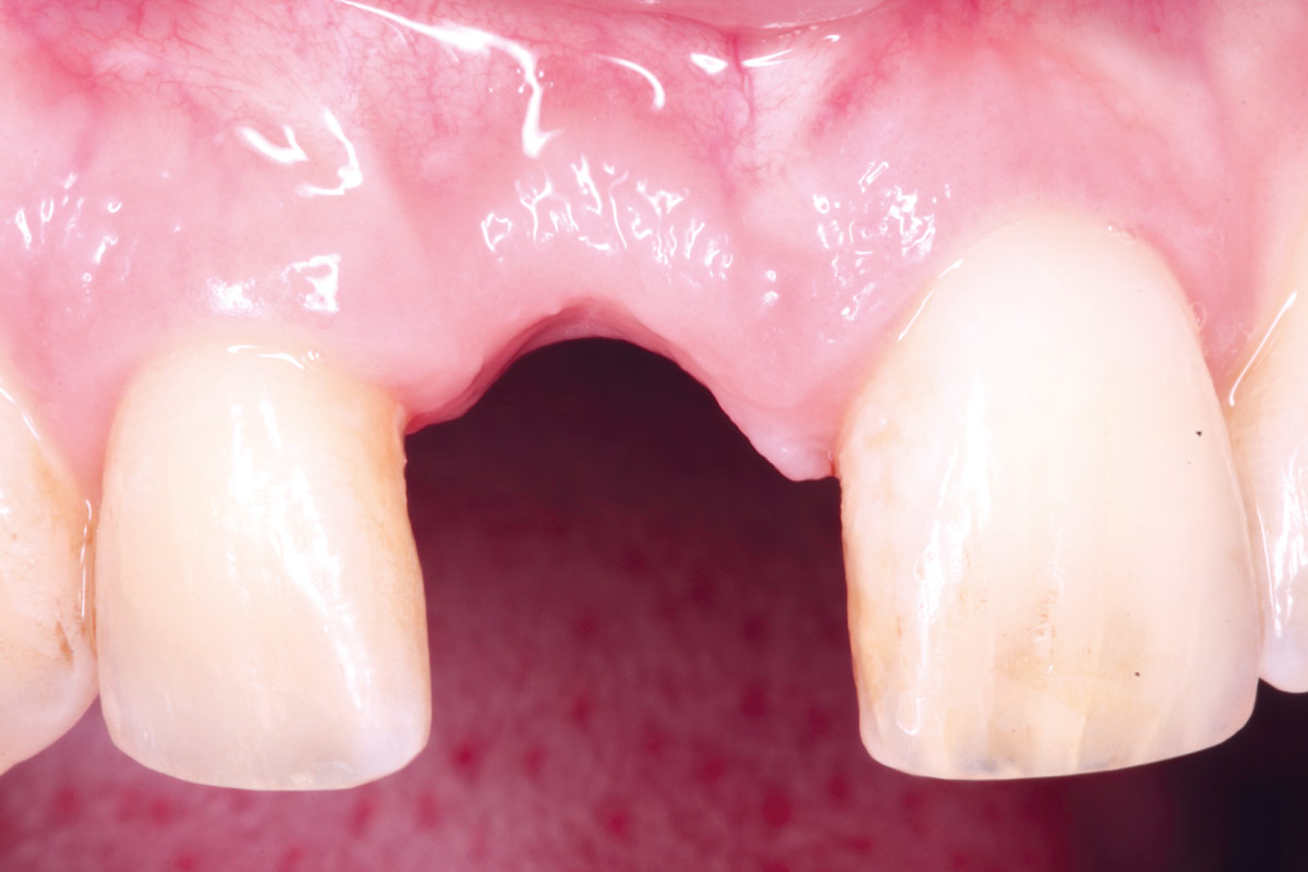
Initial situation – Treatment plan: Replace the adhesive upper left central incisor bridge with a dental implant

GBR in aesthetic zone with maxgraft® and Jason® membrane - 5 year follow up - Dr. A. Jones

Clinical situation at baseline: Situation after tooth extraction UR1 due to a failed endodontic treatment 3 months previously

Socket preservation with mucoderm® & maxgraft® - Dr. A. Puisys

Pre-operative situation; tooth 21 proved not to be worth preserving

Full bone regeneration in extraction socket augmented with maxgraft® and Jason® membrane – Dr. C. Landsberg

Initial clinical situation: 9 mm pocket depth associated with root fracture

botiss-cerabone-permamem-maxgraft-mucoderm-horizontal-gbr-maghaireh

Initial situation - A young female 34 years old lost her front teeth in an surfing accident and she had a 5 unit bridge supported by her upper left lateral and right canine. The restoration failed and both supporting crowns have exposed and leaking margins.

Simultaneous GBR and implantation using maxgraft® granules and autologous bone

Initial situation - endodontically failing tooth 22, very thin biotype, high lip line and esthetic expectations

Full maxillary reconstruction with maxgraft® bonebuilder - Dr. C. Hilscher

Initial x-ray, ten years post implantationem alio loco, large peri-implant bone loss