Maxillary sinus cyst removal using the Crocodile Technique and subsequent lateral sinus lift - Dres. C. Scognamiglio and A. Perucchi
-
01/35 - Initial x-ray, tooth 25 compromised and to be extractedMaxillary sinus cyst removal using the Crocodile Technique and subsequent lateral sinus lift - Dres. C. Scognamiglio and A. Perucchi
-
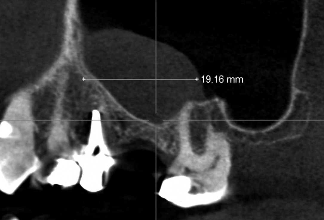
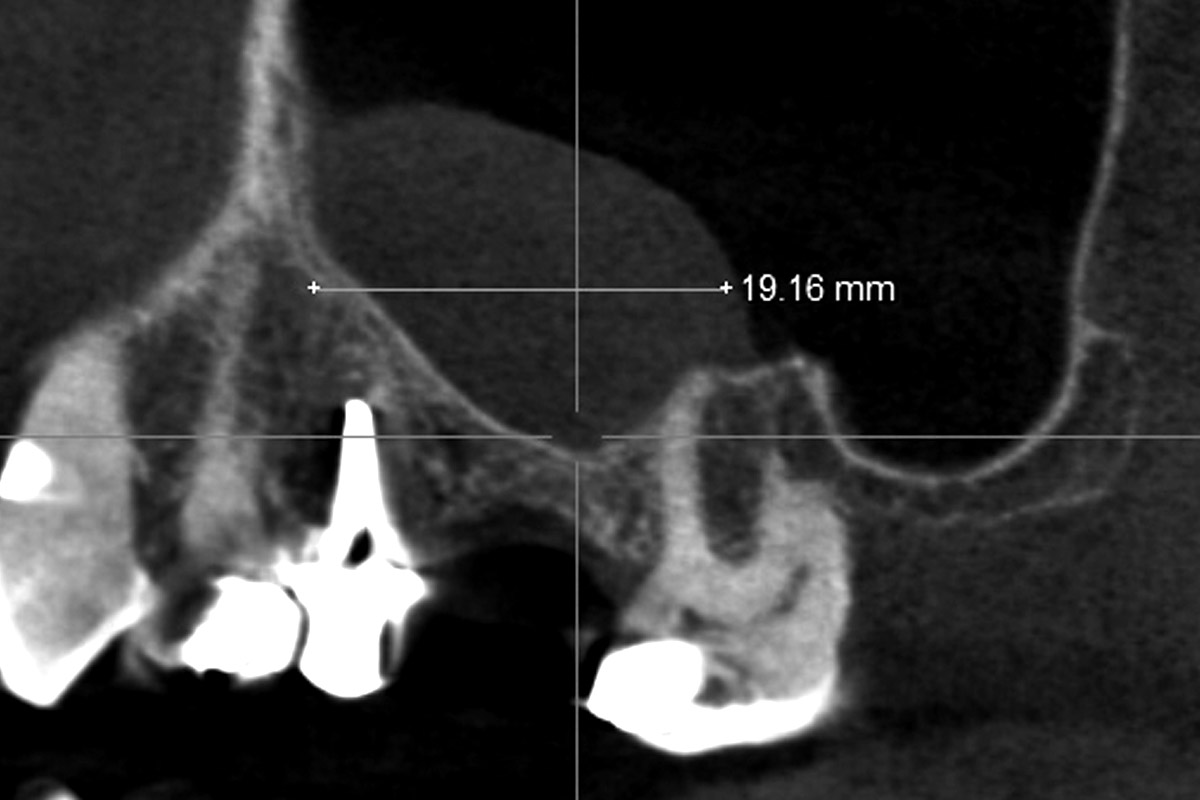
02/35 - CBCT shows maxillary sinus cystMaxillary sinus cyst removal using the Crocodile Technique and subsequent lateral sinus lift - Dres. C. Scognamiglio and A. Perucchi
-
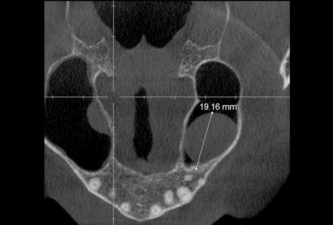
03/35 - CBCT shows maxillary sinus cystMaxillary sinus cyst removal using the Crocodile Technique and subsequent lateral sinus lift - Dres. C. Scognamiglio and A. Perucchi
-
04/35 - Preparation of the lateral sinus window using piezosurgeryMaxillary sinus cyst removal using the Crocodile Technique and subsequent lateral sinus lift - Dres. C. Scognamiglio and A. Perucchi
-
05/35 - Detached sinus membraneMaxillary sinus cyst removal using the Crocodile Technique and subsequent lateral sinus lift - Dres. C. Scognamiglio and A. Perucchi
-
06/35 - Aspiration of the cystic contentsMaxillary sinus cyst removal using the Crocodile Technique and subsequent lateral sinus lift - Dres. C. Scognamiglio and A. Perucchi
-
07/35 - Removal of the cyst from the sinusMaxillary sinus cyst removal using the Crocodile Technique and subsequent lateral sinus lift - Dres. C. Scognamiglio and A. Perucchi
-
08/35 - CystMaxillary sinus cyst removal using the Crocodile Technique and subsequent lateral sinus lift - Dres. C. Scognamiglio and A. Perucchi
-
09/35 - Suture of the sinus membraneMaxillary sinus cyst removal using the Crocodile Technique and subsequent lateral sinus lift - Dres. C. Scognamiglio and A. Perucchi
-
10/35 - Protection of the perforation with Jason® membraneMaxillary sinus cyst removal using the Crocodile Technique and subsequent lateral sinus lift - Dres. C. Scognamiglio and A. Perucchi
-
11/35 - Re-Application of the bone window removed at the startMaxillary sinus cyst removal using the Crocodile Technique and subsequent lateral sinus lift - Dres. C. Scognamiglio and A. Perucchi
-
12/35 - Protection of the sinus window with Jason® membrane and L-PRFMaxillary sinus cyst removal using the Crocodile Technique and subsequent lateral sinus lift - Dres. C. Scognamiglio and A. Perucchi
-
13/35 - SuturesMaxillary sinus cyst removal using the Crocodile Technique and subsequent lateral sinus lift - Dres. C. Scognamiglio and A. Perucchi
-
14/35 - Histological analysis shows a salivary retention cystMaxillary sinus cyst removal using the Crocodile Technique and subsequent lateral sinus lift - Dres. C. Scognamiglio and A. Perucchi
-
15/35 - Buccal healing after 4 monthsMaxillary sinus cyst removal using the Crocodile Technique and subsequent lateral sinus lift - Dres. C. Scognamiglio and A. Perucchi
-
16/35 - X-ray after 5 monthsMaxillary sinus cyst removal using the Crocodile Technique and subsequent lateral sinus lift - Dres. C. Scognamiglio and A. Perucchi
-
17/35 - CBCT after 6 monthsMaxillary sinus cyst removal using the Crocodile Technique and subsequent lateral sinus lift - Dres. C. Scognamiglio and A. Perucchi
-
18/35 - Re-opening of the flap for lateral sinus lift and implant positioningMaxillary sinus cyst removal using the Crocodile Technique and subsequent lateral sinus lift - Dres. C. Scognamiglio and A. Perucchi
-
19/35 - Preparation of the sinus window with piezosurgeryMaxillary sinus cyst removal using the Crocodile Technique and subsequent lateral sinus lift - Dres. C. Scognamiglio and A. Perucchi
-
20/35 - Detachment of the membrane using classic instrumentsMaxillary sinus cyst removal using the Crocodile Technique and subsequent lateral sinus lift - Dres. C. Scognamiglio and A. Perucchi
-
21/35 - Bone augmentation using cerabone®, maxgraft®, and autologous boneMaxillary sinus cyst removal using the Crocodile Technique and subsequent lateral sinus lift - Dres. C. Scognamiglio and A. Perucchi
-
22/35 - Application of Jason® membrane to protect the sinus graftMaxillary sinus cyst removal using the Crocodile Technique and subsequent lateral sinus lift - Dres. C. Scognamiglio and A. Perucchi
-
23/35 - Protection of the sinus window using L-PRFMaxillary sinus cyst removal using the Crocodile Technique and subsequent lateral sinus lift - Dres. C. Scognamiglio and A. Perucchi
-
24/35 - SuturesMaxillary sinus cyst removal using the Crocodile Technique and subsequent lateral sinus lift - Dres. C. Scognamiglio and A. Perucchi
-
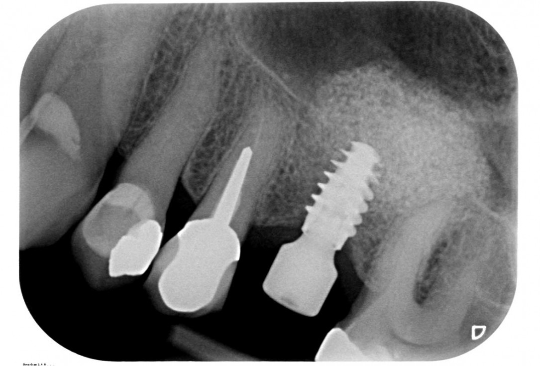
25/35 - Post-operative x-rayMaxillary sinus cyst removal using the Crocodile Technique and subsequent lateral sinus lift - Dres. C. Scognamiglio and A. Perucchi
-
26/35 - Radiological follow-up at 6 monthsMaxillary sinus cyst removal using the Crocodile Technique and subsequent lateral sinus lift - Dres. C. Scognamiglio and A. Perucchi
-
27/35 - Mini-invasive second stage, in order to save the keratinized mucosaMaxillary sinus cyst removal using the Crocodile Technique and subsequent lateral sinus lift - Dres. C. Scognamiglio and A. Perucchi
-
28/35 - Application of the healing cap after the second stageMaxillary sinus cyst removal using the Crocodile Technique and subsequent lateral sinus lift - Dres. C. Scognamiglio and A. Perucchi
-
29/35 - X-ray control after the second stageMaxillary sinus cyst removal using the Crocodile Technique and subsequent lateral sinus lift - Dres. C. Scognamiglio and A. Perucchi
-
30/35 - Peri-implant tissues at 3 weeks from the second stageMaxillary sinus cyst removal using the Crocodile Technique and subsequent lateral sinus lift - Dres. C. Scognamiglio and A. Perucchi
-
31/35 - Peri-implant tissues at 3 weeks from the second stageMaxillary sinus cyst removal using the Crocodile Technique and subsequent lateral sinus lift - Dres. C. Scognamiglio and A. Perucchi
-
32/35 - Impression with PermadyneMaxillary sinus cyst removal using the Crocodile Technique and subsequent lateral sinus lift - Dres. C. Scognamiglio and A. Perucchi
-
33/35 - Fitting of the zirconia crownMaxillary sinus cyst removal using the Crocodile Technique and subsequent lateral sinus lift - Dres. C. Scognamiglio and A. Perucchi
-
34/35 - Anatomical occlusal filling of the screw channelMaxillary sinus cyst removal using the Crocodile Technique and subsequent lateral sinus lift - Dres. C. Scognamiglio and A. Perucchi
-
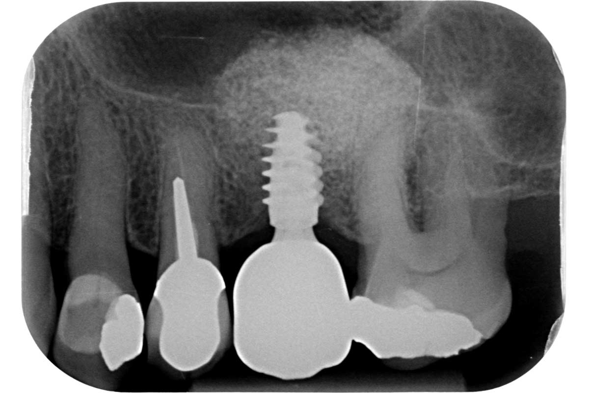
35/35 - X-ray follow-up at 8 months from the delivery of the crownMaxillary sinus cyst removal using the Crocodile Technique and subsequent lateral sinus lift - Dres. C. Scognamiglio and A. Perucchi
Initial clinical situation. Atrophic maxillary ridge.
Initial x-ray showing bone loss around implants placed 5 years ago in another dental clinic
Initial view of the case. Discoloration of 1.1 and mild class I gingival recession
Situation after tooth removal.
Initial clinical situation with gum recession and labial bone loss eight weeks following tooth extraction
Three implants placed in a narrow posterior mandible
Pre-operative clinical situation.
Clinical situation with narrow alveolar ridge in the lower jaw
Initial clinical situation showing bone wall defect.
Initial clinical situation.
Pre-surgical situation.
Initial situation: missing teeth #11 & 12 and badly broken #21 root
Pre-operative OPG shows deep vertical intrabony defects on the distal aspects of teeth 13 and 14.
Instable bridge situation with abscess formation at tooth #15 after apicoectomy
Initial clinical situation.
Implant insertion in atrophic alveolar ridge
Preoperative clinical situation
Pre-operative OPG
Pre-operative X-ray. Hopless tooth 21.
Pre-surgical situation. Teeth 26 and 27 missing.
Extraction of tooth 21 after endodontic treatment
Pre-surgical probing reveals a deep intrabony defect on the distal aspect of the upper canine.
Initial clinical situation with single tooth gap in regio 21
Pre-operative radiographic view. Intrabony defect on the distal aspect of the lateral incisor.
Clinical situation before extraction and implantation
Pre-operative radiographic view.


































