Multiple gingival recessions treated with the modified coronally advanced flap in conjunction with mucoderm® and Straumann® Emdogain® - Dr. D. B. Hangyási
-
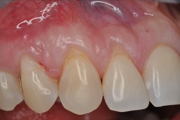
01/06 - Pre-surgical situation. Multiple adjacent gingival recessions at teeth 12, 13 and 14.Multiple gingival recessions treated with the modified coronally advanced flap in conjunction with mucoderm® and Straumann® Emdogain® - Dr. D. B. Hangyási
-
02/06 - Oblique incisions according to the modified coronally advanced flap technique (Zucchelli & De Sanctis J Periodontol. 2000).Multiple gingival recessions treated with the modified coronally advanced flap in conjunction with mucoderm® and Straumann® Emdogain® - Dr. D. B. Hangyási
-
03/06 - Application of Straumann® Emdogain® to the root surfaces.Multiple gingival recessions treated with the modified coronally advanced flap in conjunction with mucoderm® and Straumann® Emdogain® - Dr. D. B. Hangyási
-
04/06 - Rehydrated mucoderm® placed over the root surfaces and sutured to the wound bed.Multiple gingival recessions treated with the modified coronally advanced flap in conjunction with mucoderm® and Straumann® Emdogain® - Dr. D. B. Hangyási
-
05/06 - Complete coverage of the mucoderm® matrix and tension-free flap closure.Multiple gingival recessions treated with the modified coronally advanced flap in conjunction with mucoderm® and Straumann® Emdogain® - Dr. D. B. Hangyási
-
06/06 - Clinical situation 5 months post-operative.Multiple gingival recessions treated with the modified coronally advanced flap in conjunction with mucoderm® and Straumann® Emdogain® - Dr. D. B. Hangyási
Initial view of the case. Discoloration of 1.1 and mild class I gingival recession
Initial clinical situation with Miller class 1 recession
Initial clinical situation
Initial clinical situation
Pre-operative clinical situation. Gingival recessions at teeth 11 and 21.
Multiple adjacent gingival recessions.
X-ray shows a 3-dimensional periondontal defect
Initial clinical situation with lack of keratinized tissue
Bone defect in area 11-21 due to two lost implants (periimplantitis) after 15 years of function
Intact socket following atraumatic tooth extraction
Full-thickness flap preparation bucally and lingually
Initial situation: missing teeth #11 & 12 and badly broken #21 root
Drilling template for guided implant placement
Initial clinical situation showing strongly compromised tooth 21
Pre-surgical clinical situation. Deep gingival recessions at both upper canine.
Clinical situation before surgery
Initial clinical situation
Initial clinical situation with traumatic loss of tooth 21
Longitudinal fracture on the root resected tooth 21 with visible buccal fistula
X-ray showing endodontic failure of the molar
X-ray of initial clinical situation
Initial clinical situation
Alveolar socket before soft and hard tissue augmentation
Gingival recession at tooth 13. Free gingival graft (FGG) of a previous surgery for root coverage visible.
recession on tooth 11
Insufficient keratinized mucosa and extremely shallow vestibule on the maxilla
Initial clinical situation
Tooth extraction due to root fracture





