Treatment of single gingival recession with mucoderm® – Dr. A. Hamdy
-
01/10 - Initial clinical situation with Miller class 1 recessionTreatment of single gingival recession with mucoderm® – Dr. A. Hamdy
-
02/10 - Measuring of the recession depthTreatment of single gingival recession with mucoderm® – Dr. A. Hamdy
-
03/10 - Modified coronally advanced flapTreatment of single gingival recession with mucoderm® – Dr. A. Hamdy
-
04/10 - mucoderm® soft tissue graft hydrated in bloodTreatment of single gingival recession with mucoderm® – Dr. A. Hamdy
-
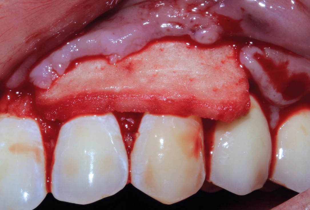
05/10 - Application of mucoderm®Treatment of single gingival recession with mucoderm® – Dr. A. Hamdy
-
06/10 - Adaption of mucoderm® on the exposed root surfacesTreatment of single gingival recession with mucoderm® – Dr. A. Hamdy
-
07/10 - Suturing of mucoderm® at the level of the cemento-enamel junctionTreatment of single gingival recession with mucoderm® – Dr. A. Hamdy
-
08/10 - Suturing of the flap 1 mm below the cemento-enamel junction with sling suturesTreatment of single gingival recession with mucoderm® – Dr. A. Hamdy
-
09/10 - Clinical situation 2 weeks post-operativeTreatment of single gingival recession with mucoderm® – Dr. A. Hamdy
-
10/10 - Clinical situation 2 years post-operativeTreatment of single gingival recession with mucoderm® – Dr. A. Hamdy
Initial view of the case. Discoloration of 1.1 and mild class I gingival recession
Initial situation: missing teeth #11 & 12 and badly broken #21 root
Drilling template for guided implant placement
Initial clinical situation showing strongly compromised tooth 21
Pre-surgical clinical situation. Deep gingival recessions at both upper canine.
Pre-surgical situation. Multiple adjacent gingival recessions at teeth 12, 13 and 14.
Multiple adjacent gingival recessions.
X-ray shows a 3-dimensional periondontal defect
Initial clinical situation with lack of keratinized tissue
Bone defect in area 11-21 due to two lost implants (periimplantitis) after 15 years of function
Intact socket following atraumatic tooth extraction
Full-thickness flap preparation bucally and lingually
Initial clinical situation
Alveolar socket before soft and hard tissue augmentation
Clinical situation before surgery
Initial clinical situation
Initial clinical situation with traumatic loss of tooth 21
Longitudinal fracture on the root resected tooth 21 with visible buccal fistula
X-ray showing endodontic failure of the molar
X-ray of initial clinical situation
Initial clinical situation
Initial clinical situation
Pre-operative clinical situation. Gingival recessions at teeth 11 and 21.
Gingival recession at tooth 13. Free gingival graft (FGG) of a previous surgery for root coverage visible.
recession on tooth 11
Insufficient keratinized mucosa and extremely shallow vestibule on the maxilla
Initial clinical situation
Tooth extraction due to root fracture









