-
01/17 - Pre-operative X-ray. Hopless tooth 21.
Socket preservation using cerabone® and Straumann® Emdogain® - Dr. S. Pelekanos
-
02/17 - Extraction of tooth 21.
Socket preservation using cerabone® and Straumann® Emdogain® - Dr. S. Pelekanos
-
03/17 - Extraction of tooth 21.
Socket preservation using cerabone® and Straumann® Emdogain® - Dr. S. Pelekanos
-
04/17 - Situation after tooth extraction.
Socket preservation using cerabone® and Straumann® Emdogain® - Dr. S. Pelekanos
-
05/17 - Small cerabone® granules.
Socket preservation using cerabone® and Straumann® Emdogain® - Dr. S. Pelekanos
-
06/17 - Small cerabone® granules mixed with Straumann® Emdogain®.
Socket preservation using cerabone® and Straumann® Emdogain® - Dr. S. Pelekanos
-
07/17 - cerabone® mixed with Straumann® Emdogain® applied to the extraction socket.
Socket preservation using cerabone® and Straumann® Emdogain® - Dr. S. Pelekanos
-
08/17 - Grafted socket.
Socket preservation using cerabone® and Straumann® Emdogain® - Dr. S. Pelekanos
-
09/17 - Grafted socket covered with a soft tissue punch.
Socket preservation using cerabone® and Straumann® Emdogain® - Dr. S. Pelekanos
-
10/17 - Suturing of the soft tissue punch.
Socket preservation using cerabone® and Straumann® Emdogain® - Dr. S. Pelekanos
-
11/17 - Clinical situation 3 weeks post-operative.
Socket preservation using cerabone® and Straumann® Emdogain® - Dr. S. Pelekanos
-
12/17 - Clinical situation 3 weeks post-operative.
Socket preservation using cerabone® and Straumann® Emdogain® - Dr. S. Pelekanos
-
13/17 - Clinical situation 2 months post-operative.
Socket preservation using cerabone® and Straumann® Emdogain® - Dr. S. Pelekanos
-
14/17 - Implant placement 6 months post-operative.
Socket preservation using cerabone® and Straumann® Emdogain® - Dr. S. Pelekanos
-
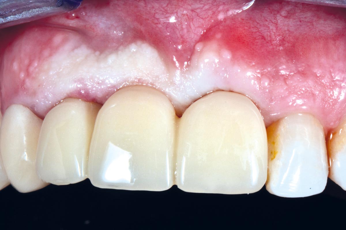
15/17 - Implant placement 6 months post-operative. Prosthetic restoration.
Socket preservation using cerabone® and Straumann® Emdogain® - Dr. S. Pelekanos
-
16/17 - Radiographic control.
Socket preservation using cerabone® and Straumann® Emdogain® - Dr. S. Pelekanos
-
17/17 - Final prosthetic restoration.
Socket preservation using cerabone® and Straumann® Emdogain® - Dr. S. Pelekanos