Sinus lift two-stage with cerabone® and Jason® membrane - Prof. Dr. Dr. D. Rothamel
-
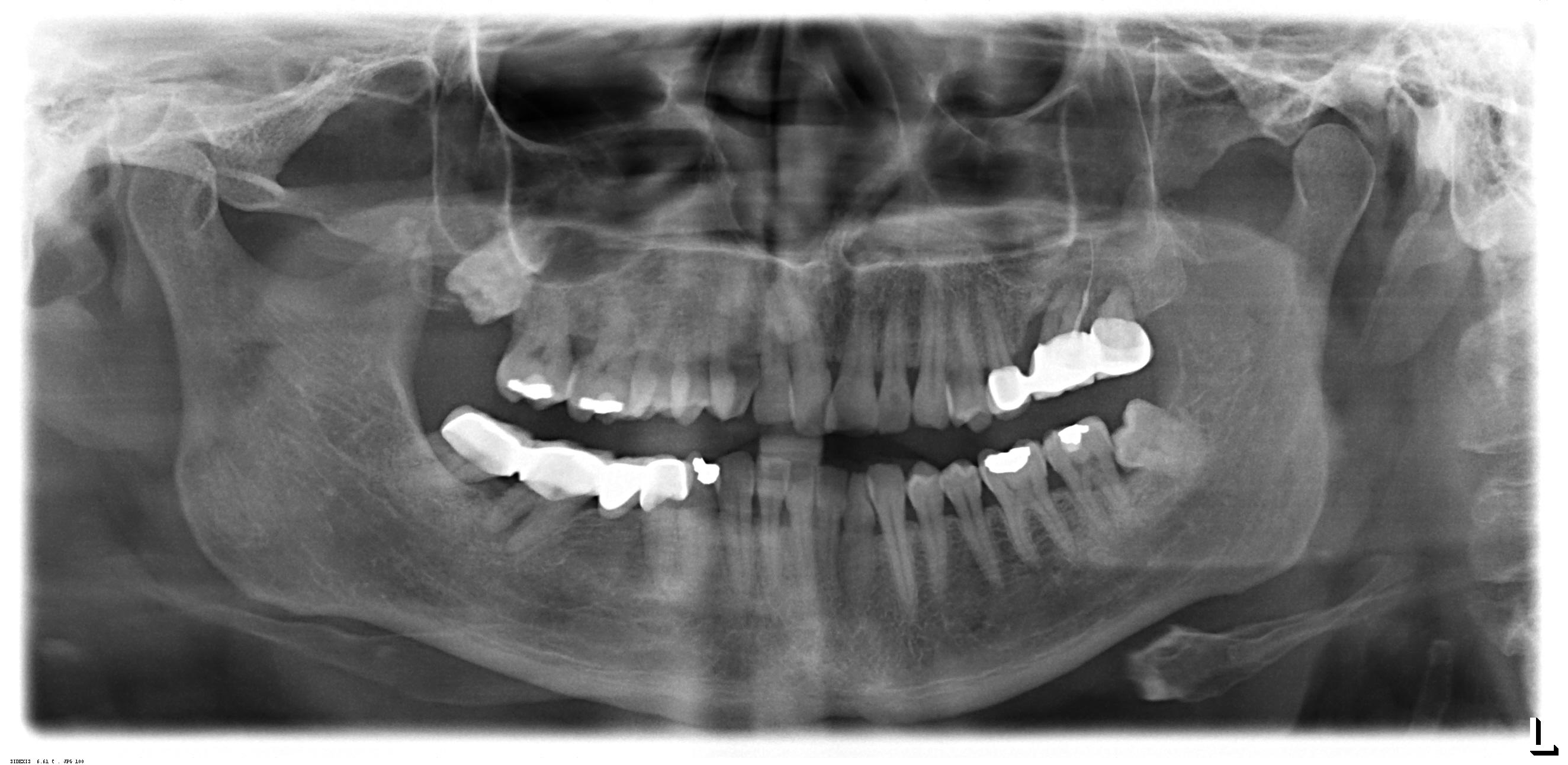
1/19 - Initial situation after root channel treatmentSinus lift two-stage with cerabone® and Jason® membrane - Prof. Dr. Dr. D. Rothamel
-
2/19 - Detail of OPGSinus lift two-stage with cerabone® and Jason® membrane - Prof. Dr. Dr. D. Rothamel
-
3/19 - OPG after tooth extraction and healing showing vertical and lateral defect after cystectomy and tooth extractionSinus lift two-stage with cerabone® and Jason® membrane - Prof. Dr. Dr. D. Rothamel
-
4/19 - Detail of OPGSinus lift two-stage with cerabone® and Jason® membrane - Prof. Dr. Dr. D. Rothamel
-
5/19 - Clinical situation before surgerySinus lift two-stage with cerabone® and Jason® membrane - Prof. Dr. Dr. D. Rothamel
-
6/19 - Surgical presentation of the atrophic alveolar ridgeSinus lift two-stage with cerabone® and Jason® membrane - Prof. Dr. Dr. D. Rothamel
-
7/19 - Preparation of a lateral sinus windowSinus lift two-stage with cerabone® and Jason® membrane - Prof. Dr. Dr. D. Rothamel
-
8/19 - Filling of the sinus cavity with cerabone®Sinus lift two-stage with cerabone® and Jason® membrane - Prof. Dr. Dr. D. Rothamel
-
9/19 - Additional lateral augmentation with cerabone®Sinus lift two-stage with cerabone® and Jason® membrane - Prof. Dr. Dr. D. Rothamel
-
10/19 - Covering of the augmentation side with the slowly resorbing Jason® membraneSinus lift two-stage with cerabone® and Jason® membrane - Prof. Dr. Dr. D. Rothamel
-
11/19 - Tension-free wound closureSinus lift two-stage with cerabone® and Jason® membrane - Prof. Dr. Dr. D. Rothamel
-
12/19 - OPG 6 months post-OPSinus lift two-stage with cerabone® and Jason® membrane - Prof. Dr. Dr. D. Rothamel
-
13/19 - Detail of OPG showing radiopacity of cerabone®Sinus lift two-stage with cerabone® and Jason® membrane - Prof. Dr. Dr. D. Rothamel
-
14/19 - Soft tissue situation at time point of re-entrySinus lift two-stage with cerabone® and Jason® membrane - Prof. Dr. Dr. D. Rothamel
-
15/19 - Very good integration of cerabone® particles without soft tissue encapsulationSinus lift two-stage with cerabone® and Jason® membrane - Prof. Dr. Dr. D. Rothamel
-
16/19 - Implant insertion with the help of a drilling templateSinus lift two-stage with cerabone® and Jason® membrane - Prof. Dr. Dr. D. Rothamel
-
17/19 - Implant placed in sufficient bone matrixSinus lift two-stage with cerabone® and Jason® membrane - Prof. Dr. Dr. D. Rothamel
-
18/19 - Trephine biopsy taken at implant insertionSinus lift two-stage with cerabone® and Jason® membrane - Prof. Dr. Dr. D. Rothamel
-
19/19 - Detail of the histology showing cerabone® particles covered by newly formed bone matrixSinus lift two-stage with cerabone® and Jason® membrane - Prof. Dr. Dr. D. Rothamel
Situation after tooth removal.
Pre-operative radiographic view.
Three implants placed in a narrow posterior mandible
Initial clinical situation with single tooth gap in regio 21
Initial situation pre-op: Central incisors with mobility 3
Initial clinical situation, regio #16
Lateral view of the defect in the posterior right maxilla.
Preoperative radiological situation
Pre-op picture of affected teeth 11 and 21
Pre-surgical situation. Teeth 26 and 27 missing.
Instable bridge situation with abscess formation at tooth #15 after apicoectomy
Implant insertion in atrophic alveolar ridge
Situation after tooth extraction.
Initial clinical situation
Initial situation after extraction of tooth 21 after 6 months
Bone defect in area 11-21 due to two lost implants (periimplantitis) after 15 years of function
Model of the initial defect computed from a CBCT scan - buccal view
Atrophic alveolar ridge in the left mandible
Initial x-ray showing bone loss around implants placed 5 years ago in another dental clinic
Extraction of tooth 21 after endodontic treatment
Initial clinical situation with gum recession and labial bone loss eight weeks following tooth extraction
Preoperative clinical situation
Initial clinical situation with broken bridge abutment in regio 12 and tooth 21 not worth preserving
Initial clinical situation.
Initial situation 57-year old female patient. X-ray scan reveals severe bone loss due to inflammation in region 13. Treatment plan was extraction of teeth 13 and 14 and augmentation after healing.
X-ray control showing initial situation
Clinical situation
Pre-operative clinical situation: severe atrophy of the maxillary bone


















