-
1/34 - Planning the surgery with CoDiagnostix® for Straumann® Guided Surgery
Guided bone ring procedure in aesthetic zone - Dr. K. Chmielewski & Dr. O. Yüksel
-
2/34 - Initial situation 3 months after 21 extraction: missing central upper left incisor retained with a bridge
Guided bone ring procedure in aesthetic zone - Dr. K. Chmielewski & Dr. O. Yüksel
-
3/34 - Buccal bone loss already visible
Guided bone ring procedure in aesthetic zone - Dr. K. Chmielewski & Dr. O. Yüksel
-
4/34 - CBCT scan reveals vertical and horizontal bone loss; lost due to inflammation and apical lesions
Guided bone ring procedure in aesthetic zone - Dr. K. Chmielewski & Dr. O. Yüksel
-
5/34 - Drill guide
Guided bone ring procedure in aesthetic zone - Dr. K. Chmielewski & Dr. O. Yüksel
-
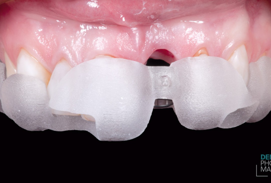
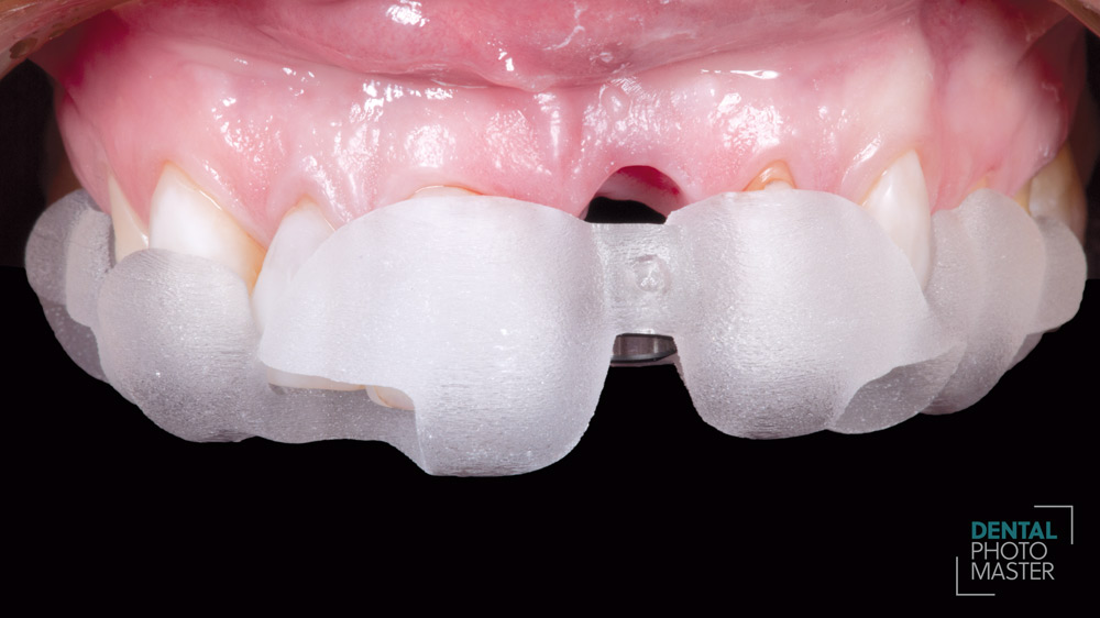
6/34 - Situation 3 months after tooth 21 extraction and template in place
Guided bone ring procedure in aesthetic zone - Dr. K. Chmielewski & Dr. O. Yüksel
-
7/34 - Crestal view shows right position of guide and healthy soft tissue
Guided bone ring procedure in aesthetic zone - Dr. K. Chmielewski & Dr. O. Yüksel
-
8/34 - Visible bone loss after full flap elevation
Guided bone ring procedure in aesthetic zone - Dr. K. Chmielewski & Dr. O. Yüksel
-
9/34 - Periostal releasing incisions - flap mobilisation and elongation
Guided bone ring procedure in aesthetic zone - Dr. K. Chmielewski & Dr. O. Yüksel
-
10/34 - Measuring the defect with a trephine: 7 mm ring required
Guided bone ring procedure in aesthetic zone - Dr. K. Chmielewski & Dr. O. Yüksel
-
11/34 - Guided pilot drilling with Straumann BLT Pilot Drill 2.2 mm diameter
Guided bone ring procedure in aesthetic zone - Dr. K. Chmielewski & Dr. O. Yüksel
-
12/34 - Trephine drilling: guiding pin follow the pilot drilling path; depth of drilling in this case: 4-5 mm.
Guided bone ring procedure in aesthetic zone - Dr. K. Chmielewski & Dr. O. Yüksel
-
13/34 - Collecting bone particles
Guided bone ring procedure in aesthetic zone - Dr. K. Chmielewski & Dr. O. Yüksel
-
14/34 - Ring bed preparation with 7 mm diameter planator - the same
size as the trephine was used
Guided bone ring procedure in aesthetic zone - Dr. K. Chmielewski & Dr. O. Yüksel
-
15/34 - Situation after 7 mm planator was used
Guided bone ring procedure in aesthetic zone - Dr. K. Chmielewski & Dr. O. Yüksel
-
16/34 - Crestal view
Guided bone ring procedure in aesthetic zone - Dr. K. Chmielewski & Dr. O. Yüksel
-
17/34 - Bone ring measurement: setting the bone ring in the defect to measure the height and fit
Guided bone ring procedure in aesthetic zone - Dr. K. Chmielewski & Dr. O. Yüksel
-
18/34 - bonering fix to hold the ring in a safe manner and measure the height
Guided bone ring procedure in aesthetic zone - Dr. K. Chmielewski & Dr. O. Yüksel
-
19/34 - Adjustment of maxgraft® bonering length with a diamond disc
Guided bone ring procedure in aesthetic zone - Dr. K. Chmielewski & Dr. O. Yüksel
-
20/34 - Enlargement of the inner diameter with the Straumann® BLT profile drill
Guided bone ring procedure in aesthetic zone - Dr. K. Chmielewski & Dr. O. Yüksel
-
21/34 - Final drilling with the 2.8 mm BLT drill through the guide to enlarge the to fit the Straumann® BLT NC (3.3 mm) implant
Guided bone ring procedure in aesthetic zone - Dr. K. Chmielewski & Dr. O. Yüksel
-
22/34 - Situation after final preparation
Guided bone ring procedure in aesthetic zone - Dr. K. Chmielewski & Dr. O. Yüksel
-
23/34 - maxgraft® bonering in place
Guided bone ring procedure in aesthetic zone - Dr. K. Chmielewski & Dr. O. Yüksel
-
24/34 - Implant placement: Straumann® BLT NC 3.3/12 mm SLActive
Guided bone ring procedure in aesthetic zone - Dr. K. Chmielewski & Dr. O. Yüksel
-
25/34 - maxgraft® bonering fixated with the implant in the defect
Guided bone ring procedure in aesthetic zone - Dr. K. Chmielewski & Dr. O. Yüksel
-
26/34 - Smooth the sharp edges with the diamond tulip (diameter 3 mm)
Guided bone ring procedure in aesthetic zone - Dr. K. Chmielewski & Dr. O. Yüksel
-
27/34 - maxgraft® bonering fixated with the implant in the right position
Guided bone ring procedure in aesthetic zone - Dr. K. Chmielewski & Dr. O. Yüksel
-
28/34 - Tacking a Jason® membrane with pins
Guided bone ring procedure in aesthetic zone - Dr. K. Chmielewski & Dr. O. Yüksel
-
29/34 - Cover the ring with cerabone® small particles as resorption protection
Guided bone ring procedure in aesthetic zone - Dr. K. Chmielewski & Dr. O. Yüksel
-
30/34 - The defect is completely covered with Jason® membrane
Guided bone ring procedure in aesthetic zone - Dr. K. Chmielewski & Dr. O. Yüksel
-
31/34 - Cover the augmented area with the flap and suture without tension
Guided bone ring procedure in aesthetic zone - Dr. K. Chmielewski & Dr. O. Yüksel
-
32/34 - Mattress sutures to remove tension of muscles
Guided bone ring procedure in aesthetic zone - Dr. K. Chmielewski & Dr. O. Yüksel
-
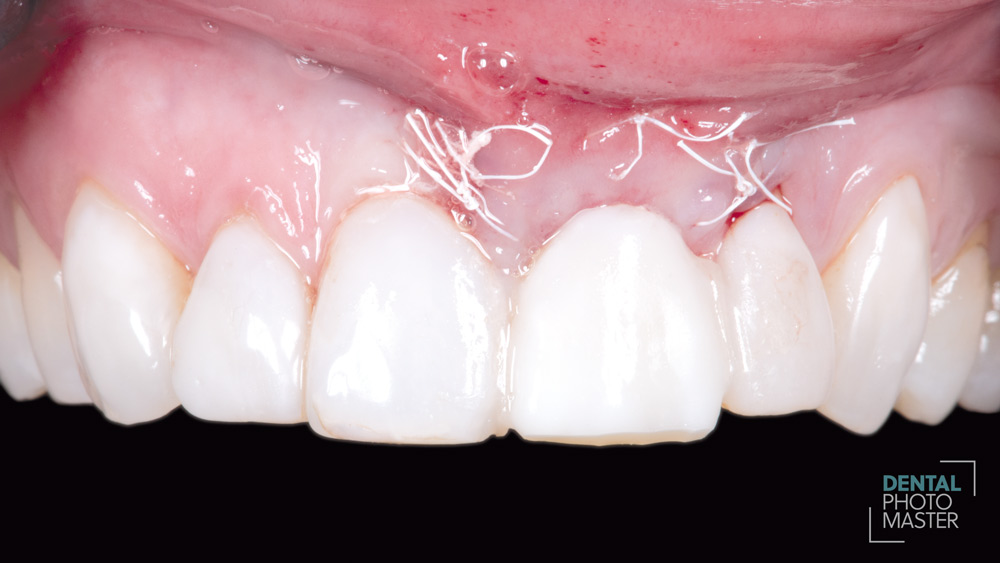
33/34 - Suturing the flap
Guided bone ring procedure in aesthetic zone - Dr. K. Chmielewski & Dr. O. Yüksel
-
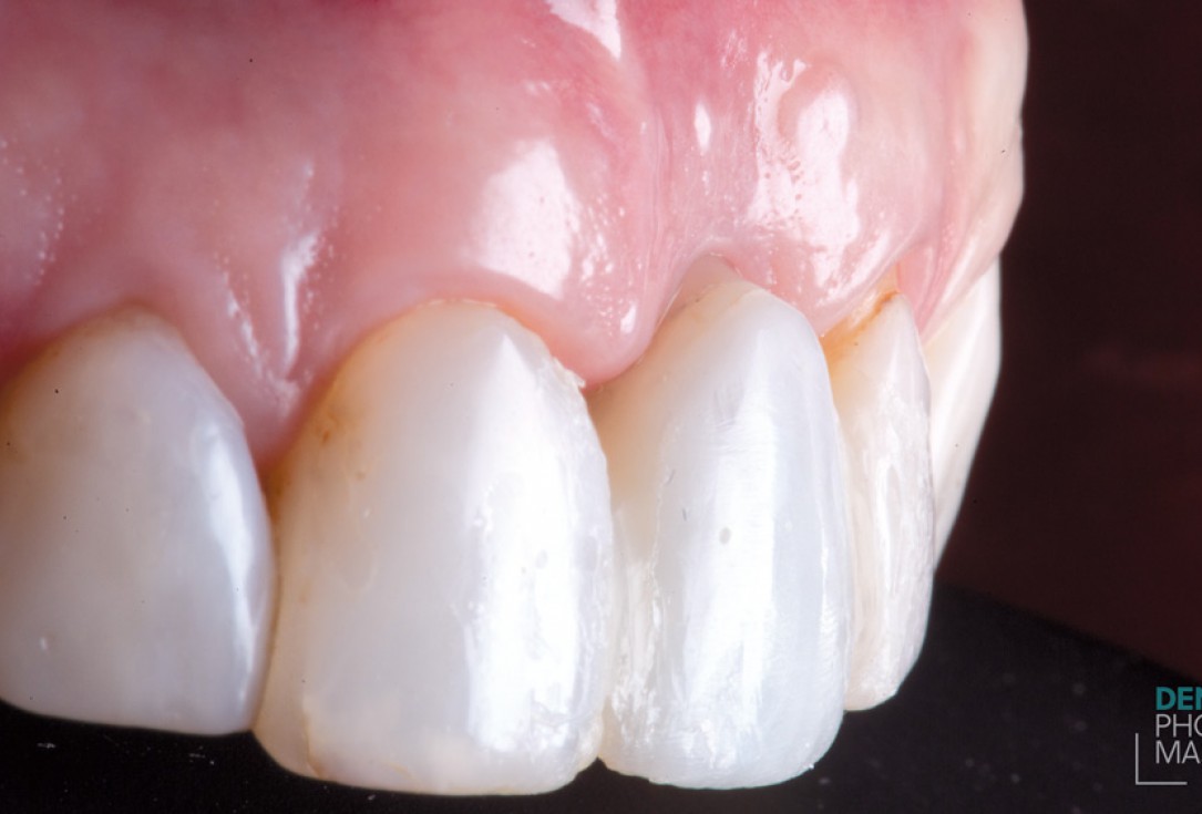
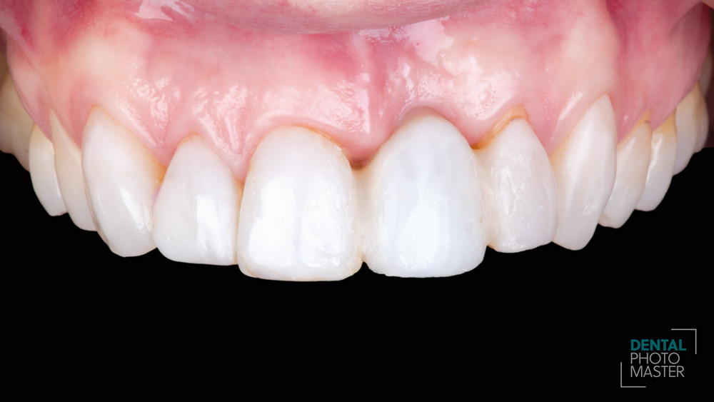
34/34 - Adhesive temporary restoration in place
Guided bone ring procedure in aesthetic zone - Dr. K. Chmielewski & Dr. O. Yüksel