-
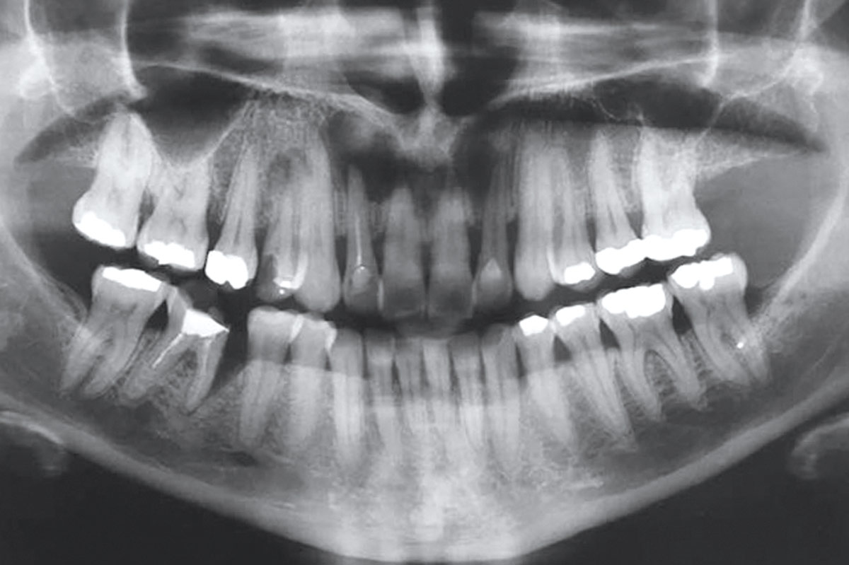
1/19 - Initial Orthopantomograph X-Ray
Immediate implant placement using maxresorb® - Dr. Alejandro Signorio
-
2/19 - CBCT Tooth 4.6
Immediate implant placement using maxresorb® - Dr. Alejandro Signorio
-
3/19 - CBCT tooth 4.6
Immediate implant placement using maxresorb® - Dr. Alejandro Signorio
-
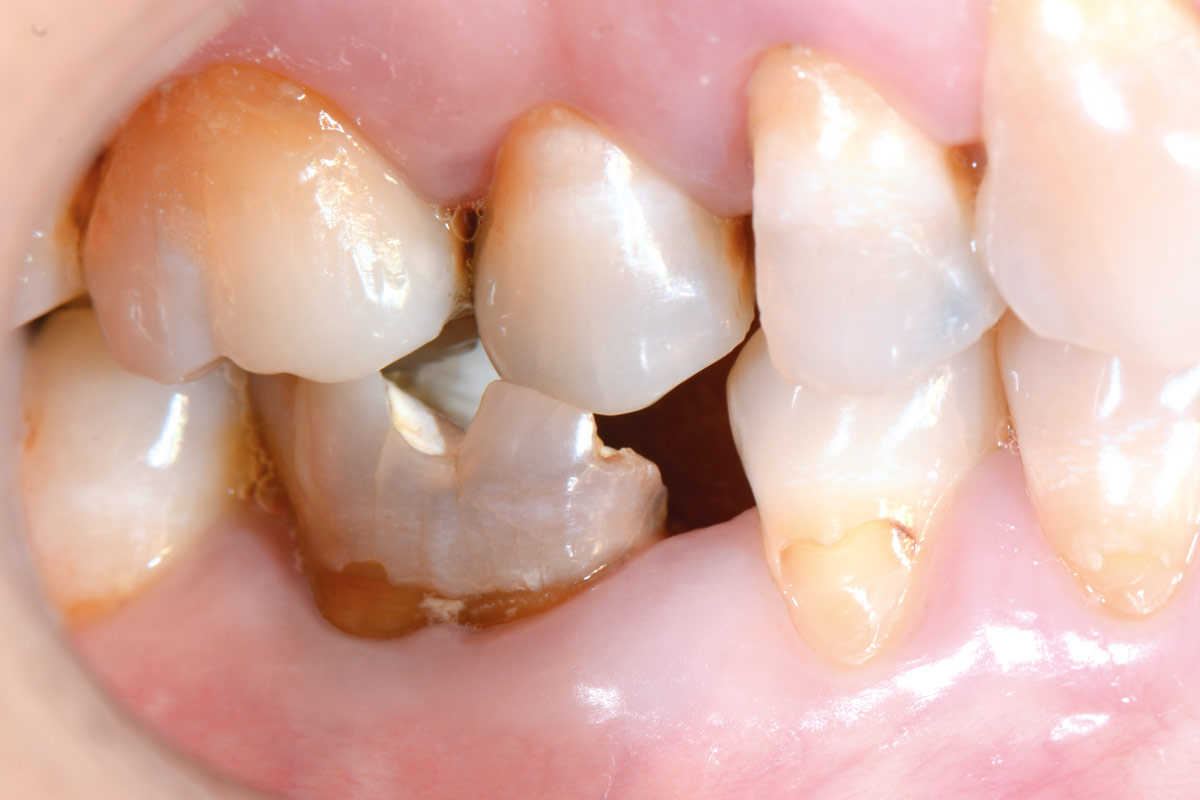
4/19 - Initial clinical situation before extraction and implantation
Immediate implant placement using maxresorb® - Dr. Alejandro Signorio
-
5/19 - Initial clinical situation before extraction and implantation
Immediate implant placement using maxresorb® - Dr. Alejandro Signorio
-
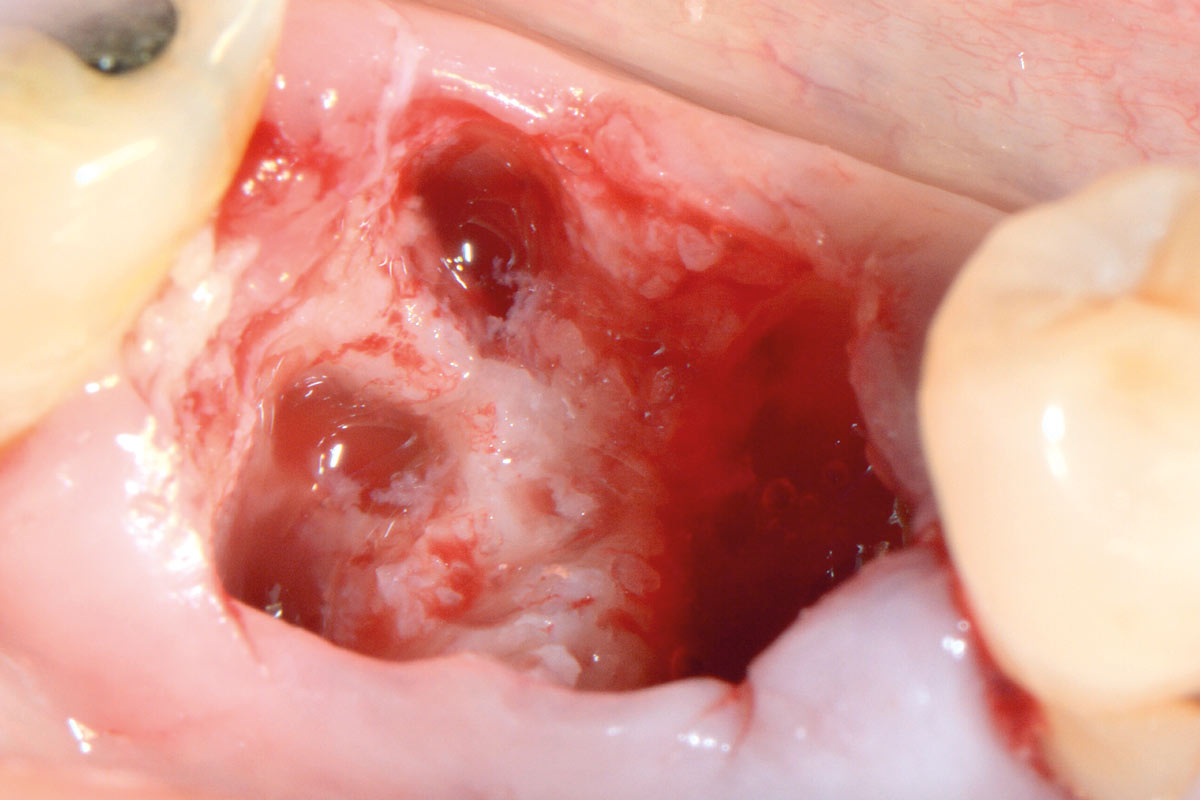
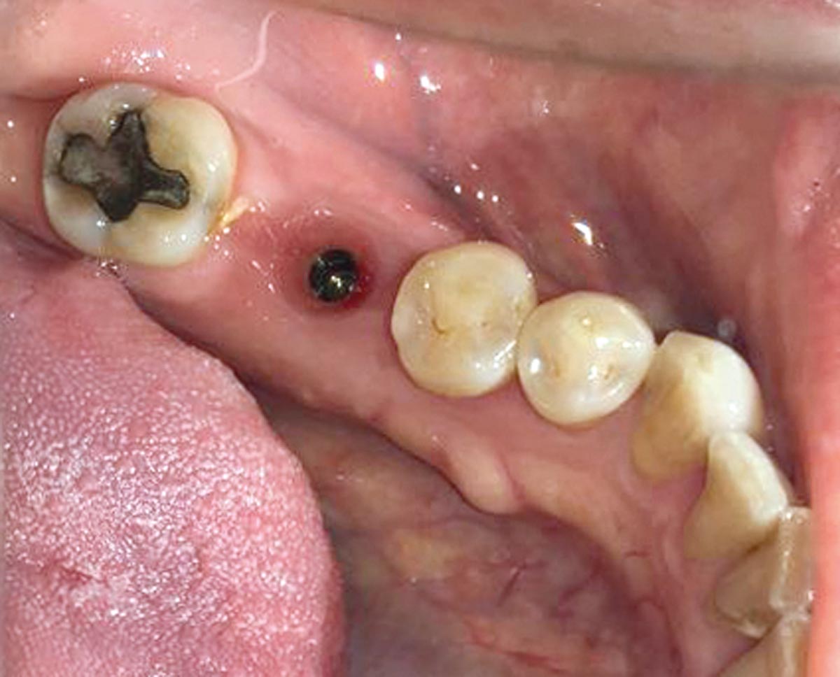
6/19 - Socket after extraction of tooth 4.6
Immediate implant placement using maxresorb® - Dr. Alejandro Signorio
-
7/19 - Immediate implant placement
Immediate implant placement using maxresorb® - Dr. Alejandro Signorio
-
8/19 - Filling the gap around the placed implant with a mixture of maxresorb® and I-PRF
Immediate implant placement using maxresorb® - Dr. Alejandro Signorio
-
9/19 - maxresorb® placed around the implant
Immediate implant placement using maxresorb® - Dr. Alejandro Signorio
-
10/19 - A-PRF matrix used to cover the maxresorb®-filled implant site
Immediate implant placement using maxresorb® - Dr. Alejandro Signorio
-
11/19 - Tension-free wound closure with sutures
Immediate implant placement using maxresorb® - Dr. Alejandro Signorio
-
12/19 - Control X-Ray of the placed implant
Immediate implant placement using maxresorb® - Dr. Alejandro Signorio
-
13/19 - Healing 3 month post-op
Immediate implant placement using maxresorb® - Dr. Alejandro Signorio
-
14/19 - Healing 3 month post-op
Immediate implant placement using maxresorb® - Dr. Alejandro Signorio
-
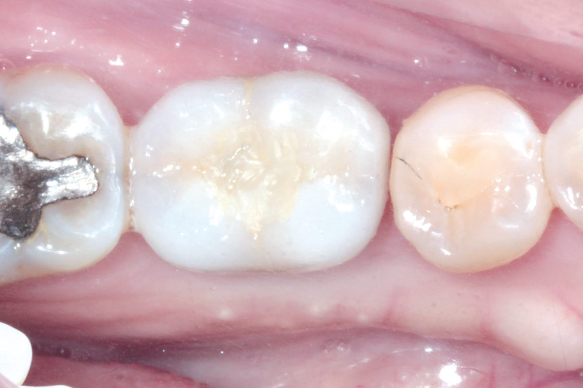
15/19 - Final restauration
Immediate implant placement using maxresorb® - Dr. Alejandro Signorio
-
16/19 - Final restauration
Immediate implant placement using maxresorb® - Dr. Alejandro Signorio
-
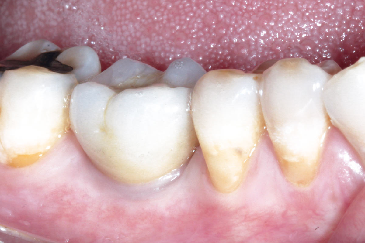
17/19 - Situation 1.5 years post-op
Immediate implant placement using maxresorb® - Dr. Alejandro Signorio
-
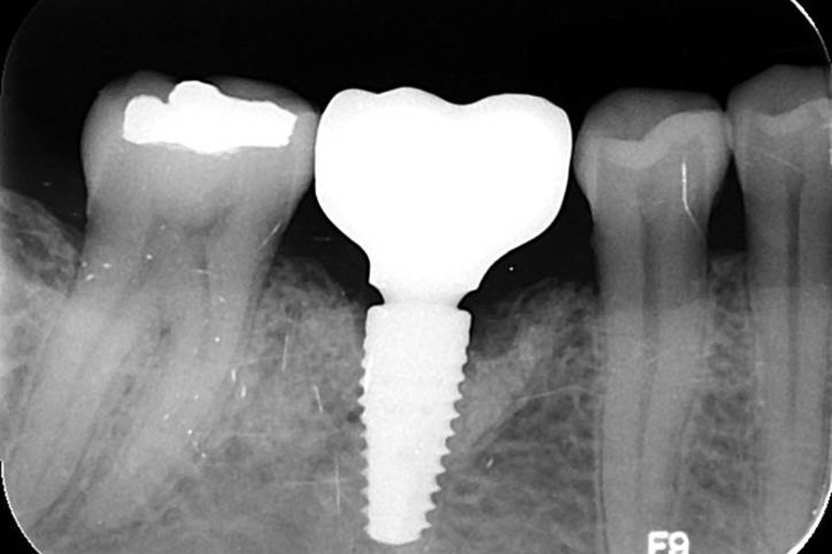
18/19 - X-Ray 1.5 years post-op
Immediate implant placement using maxresorb® - Dr. Alejandro Signorio
-
19/19 - X-ray 4 years post-op
Immediate implant placement using maxresorb® - Dr. Alejandro Signorio