-
01/13 - DVT image demonstrating horizontal and vertical amount of bone available
Sinus lift with simultaneous bone splitting & implantation - Dr. F. Kistler
-
02/13 - Reduced amount of bone on both sides of the upper jaw
Sinus lift with simultaneous bone splitting & implantation - Dr. F. Kistler
-
03/13 - Surgical presentation of the ridge with mobilization of the sinus mucosa through a lateral window
Sinus lift with simultaneous bone splitting & implantation - Dr. F. Kistler
-
04/13 - Splitting of the ridge after crestal osteotomy with bone condenser
Sinus lift with simultaneous bone splitting & implantation - Dr. F. Kistler
-
05/13 - Augmentation of the sinus cavity and fixation of the lateral wall with maxresorb®
Sinus lift with simultaneous bone splitting & implantation - Dr. F. Kistler
-
06/13 - Lateral augmentation with maxresorb® and osteotomy site with Jason® fleece
Sinus lift with simultaneous bone splitting & implantation - Dr. F. Kistler
-
07/13 - Covering of augmentation site with collprotect® membrane
Sinus lift with simultaneous bone splitting & implantation - Dr. F. Kistler
-
08/13 - Single sutures for tight wound closure after periost splitting
Sinus lift with simultaneous bone splitting & implantation - Dr. F. Kistler
-
09/19 - DVT image to control the inserted graft material
Sinus lift with simultaneous bone splitting & implantation - Dr. F. Kistler
-
10/13 - Control 3 months after augmentation of the alveolar ridge
Sinus lift with simultaneous bone splitting & implantation - Dr. F. Kistler
-
11/13 - Good consolidation of the bone graft material with wide alveolar ridge
Sinus lift with simultaneous bone splitting & implantation - Dr. F. Kistler
-
12/13 - Reduction of mucosal situation at re-entry surgery
Sinus lift with simultaneous bone splitting & implantation - Dr. F. Kistler
-
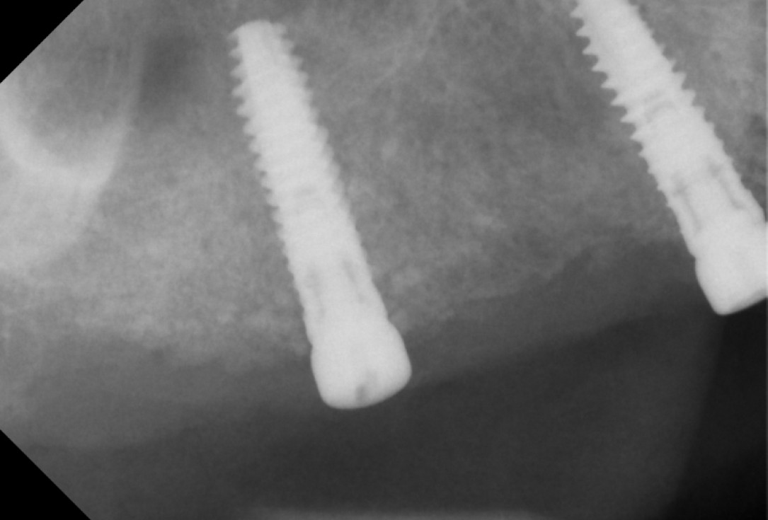
13/13 - Crestally stable bone level at re-entry
Sinus lift with simultaneous bone splitting & implantation - Dr. F. Kistler