Circular bone splitting with maxresorb® & collprotect® membrane - PD Dr. J. Neugebauer
-
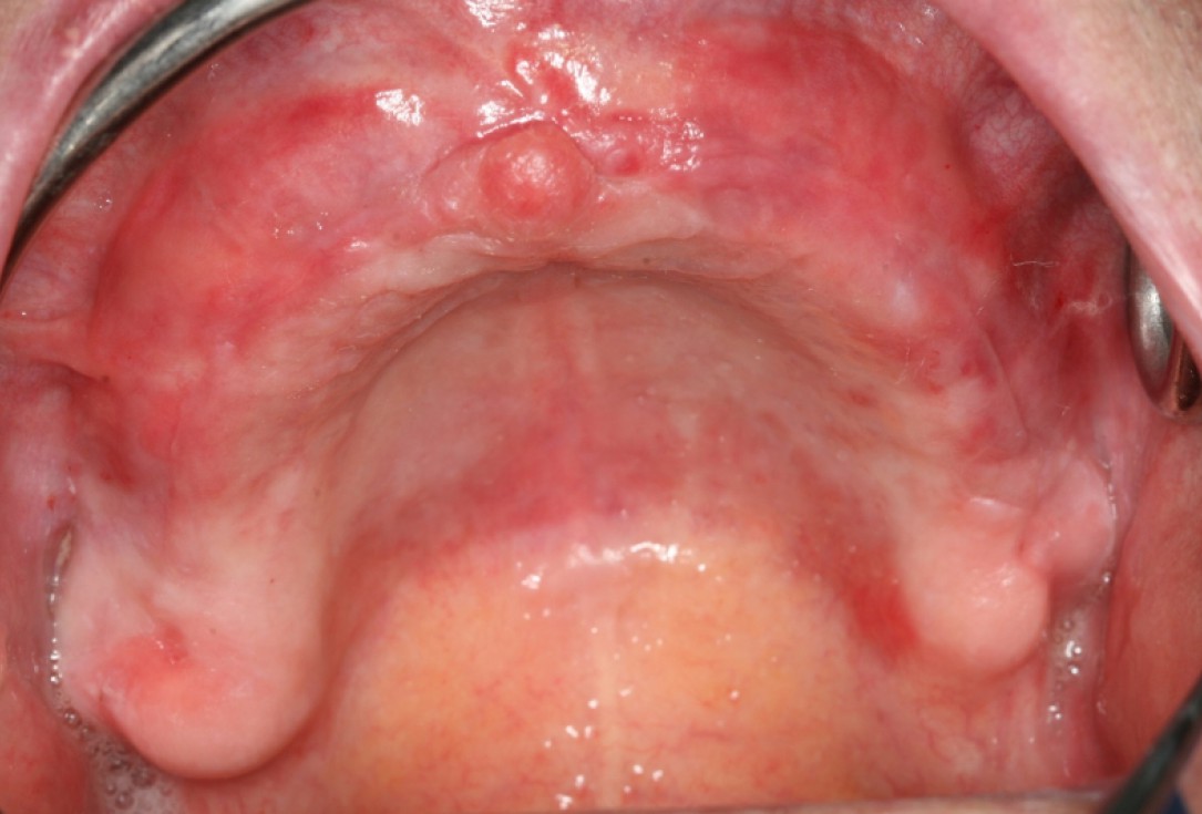
01/10 - Surgical presentation of the alveolar ridge with reduced amount of horizontal bone availableCircular bone splitting with maxresorb® & collprotect® membrane - PD Dr. J. Neugebauer
-
02/10 - Deep bone splitting with oscillating saw in regio 15 to 25Circular bone splitting with maxresorb® & collprotect® membrane - PD Dr. J. Neugebauer
-
03/10 - Positioning of collprotect® membrane for application of bone graft materialCircular bone splitting with maxresorb® & collprotect® membrane - PD Dr. J. Neugebauer
-
04/10 - Lateral deposition of maxresorb® to prevent resorption of the vestibular wallCircular bone splitting with maxresorb® & collprotect® membrane - PD Dr. J. Neugebauer
-
05/10 - Covering of the augmentation site with the initially inserted membraneCircular bone splitting with maxresorb® & collprotect® membrane - PD Dr. J. Neugebauer
-
06/10 - Tight wound closure with a continuous seam following the periost splittingCircular bone splitting with maxresorb® & collprotect® membrane - PD Dr. J. Neugebauer
-
07/10 - Complication-free healing of the augmented ridgeCircular bone splitting with maxresorb® & collprotect® membrane - PD Dr. J. Neugebauer
-
08/10 - Re-entry surgery in combination with vestibuloplasty to form the vestibulumCircular bone splitting with maxresorb® & collprotect® membrane - PD Dr. J. Neugebauer
-
09/10 - Soft tissue situation after healing with inserted abutmentsCircular bone splitting with maxresorb® & collprotect® membrane - PD Dr. J. Neugebauer
-
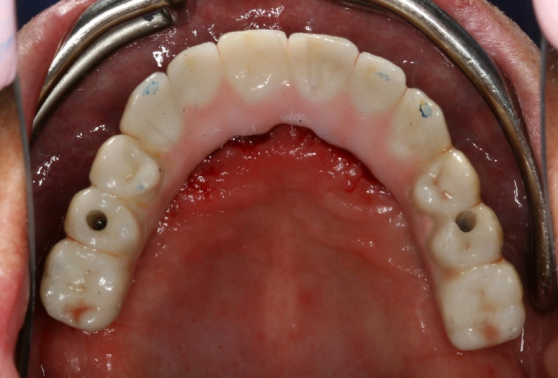
10/10 - Inserted bridge with terminally screwed and anteriorly cemented implantsCircular bone splitting with maxresorb® & collprotect® membrane - PD Dr. J. Neugebauer
Initial Orthopantomograph X-Ray
Pre-operative x-ray
X-ray control before tooth extraction
Initial situation: Inflammated tooth #12
Pre-operative OPG shows deep vertical intrabony defects on the distal aspects of teeth 13 and 14.
Pre-surgical probing reveals a deep intrabony defect on the distal aspect of the upper canine.
DVT control after sinusitis surgery, residual bone height 1 mm
DVT image showing the reduced amount of bone available in the area of the mental foramen
Surgical presentation of the alveolar ridge with reduced amount of horizontal bone available
DVT control after sinusitis surgery, residual bone height 1 mm
Clinical situation before extraction
DVT image demonstrating horizontal and vertical amount of bone available
Extended horizontal and vertical defect of the maxilla following tumor resection and reconstruction with a scapula graft
Clinical situation of the edentulous distal maxilla before the surgery
Pre-operative x-ray control
Initial X-ray presenting a very deep intrabony defect of tooth 21
DVT image showing the reduced amount of bone available in the area of the mental foramen
X-ray shows a 3-dimensional periondontal defect
X-ray control showing initial situation
DVT control after sinusitis surgery, residual bone height 1 mm
Clinical situation with narrow alveolar ridge in the lower jaw
Pre-operative radiograph. Intrabony defect on the mesial aspect of tooth 14.
Surgical presentation of the alveolar ridge with reduced amount of horizontal bone available
OPG of the initial situation – provision of missing denture in regio 44 to 47 by a resin-retained bridge
The patient presented with a terminal fracture of the crown tooth number 12









