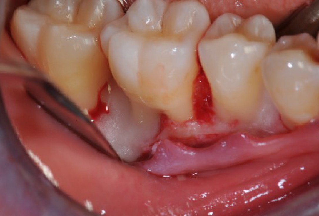
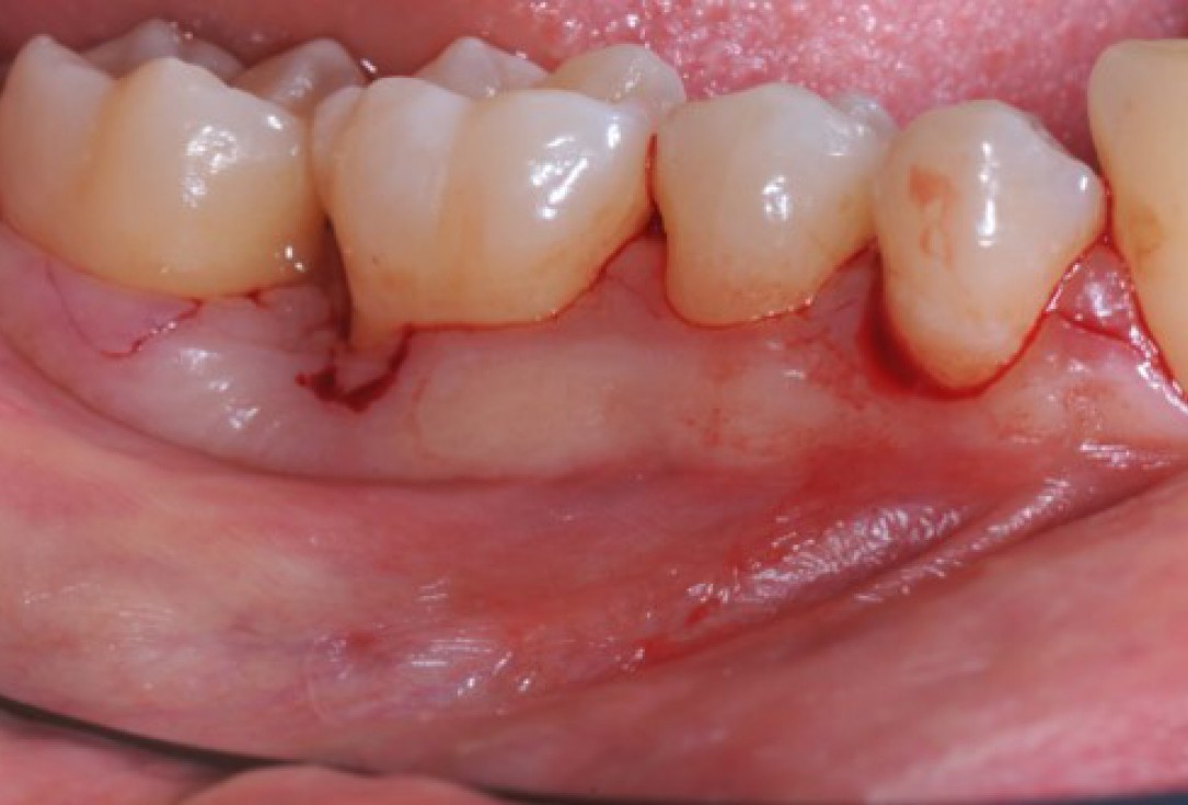
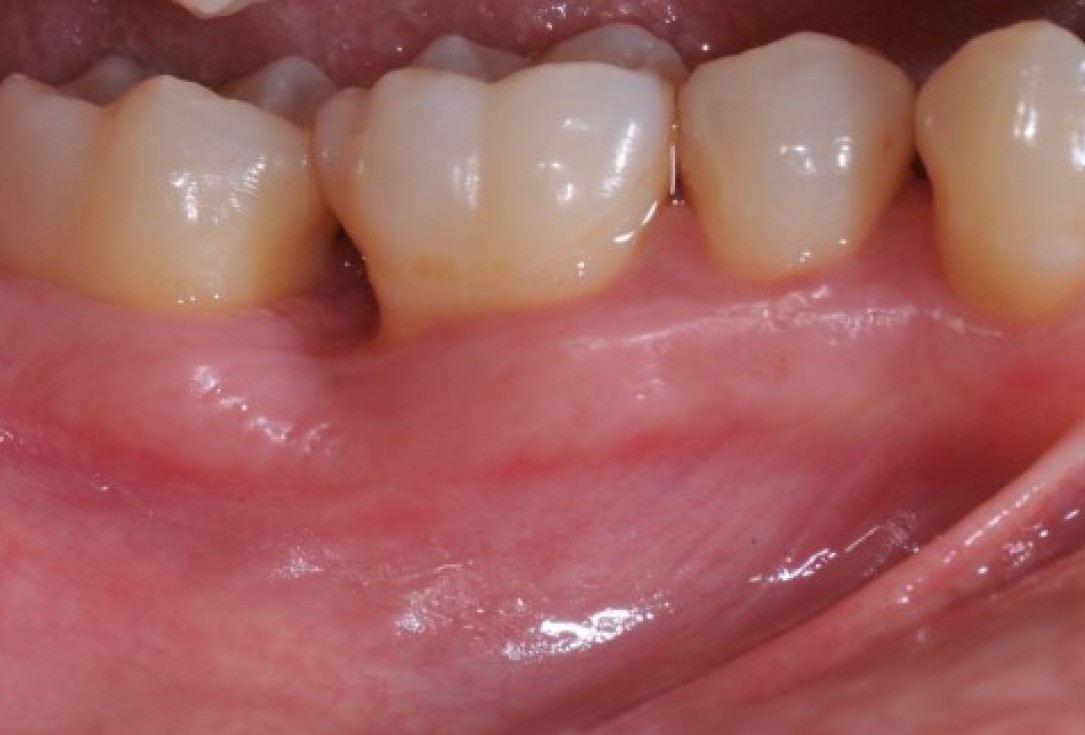
Deep intrabony defects treated using Straumann® Emdogain® - Dr. M. Stefanini

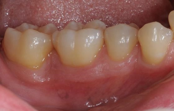
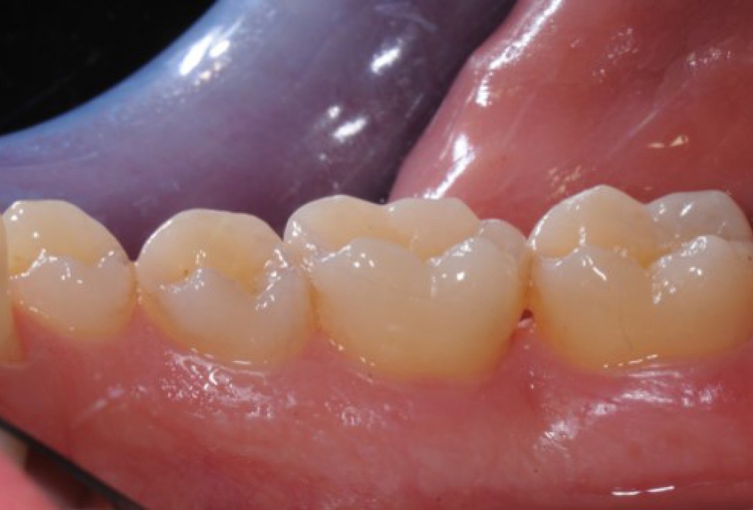
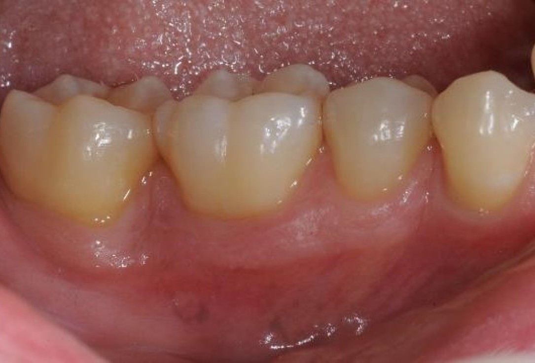
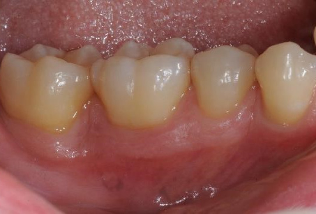
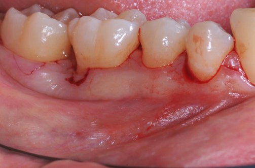
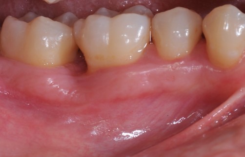
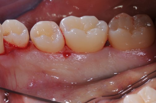
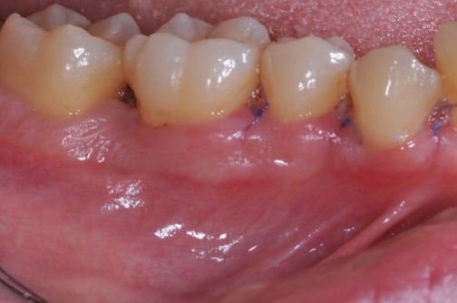
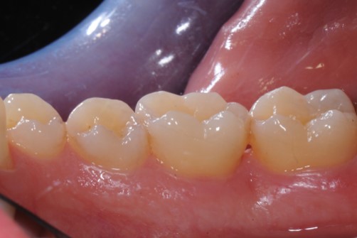
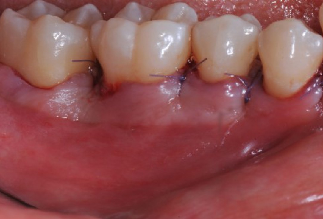
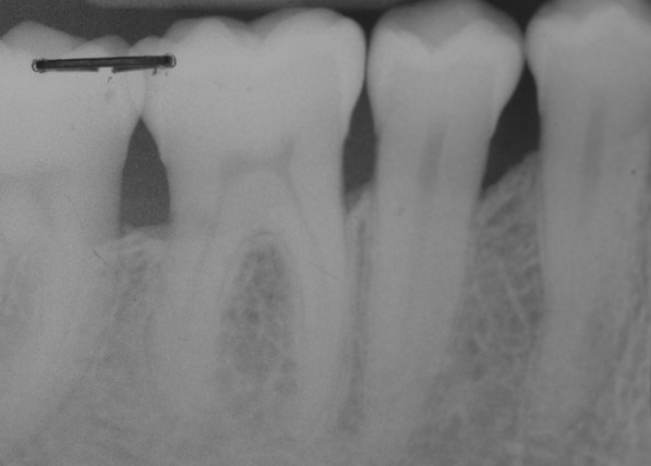
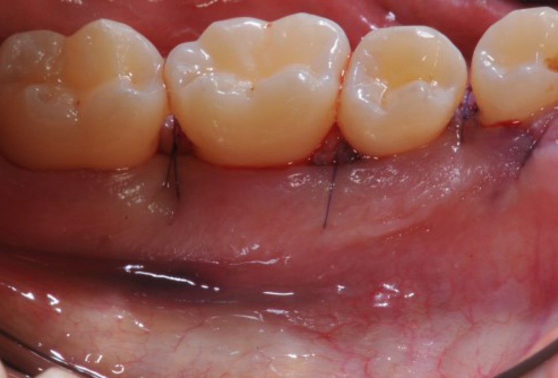
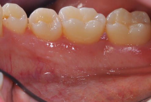
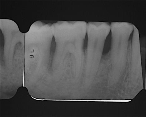
Contained intrabony defect treated using Straumann® Emdogain® - Kasaj

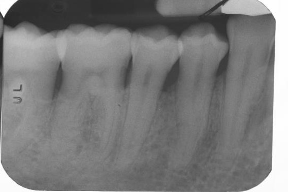
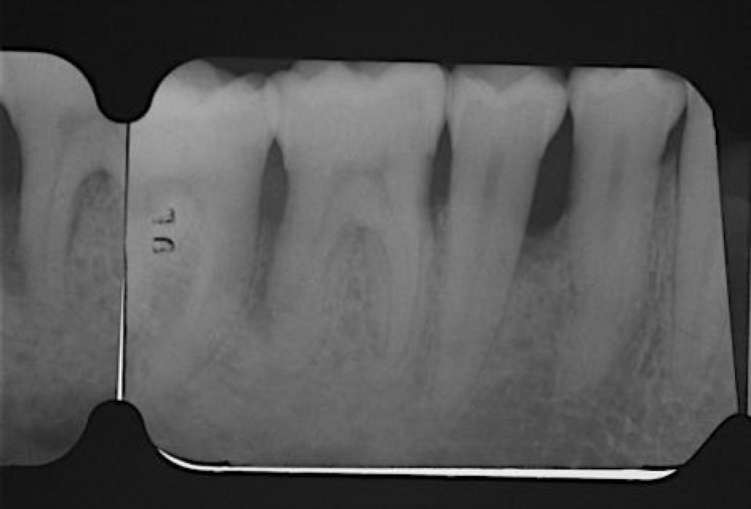
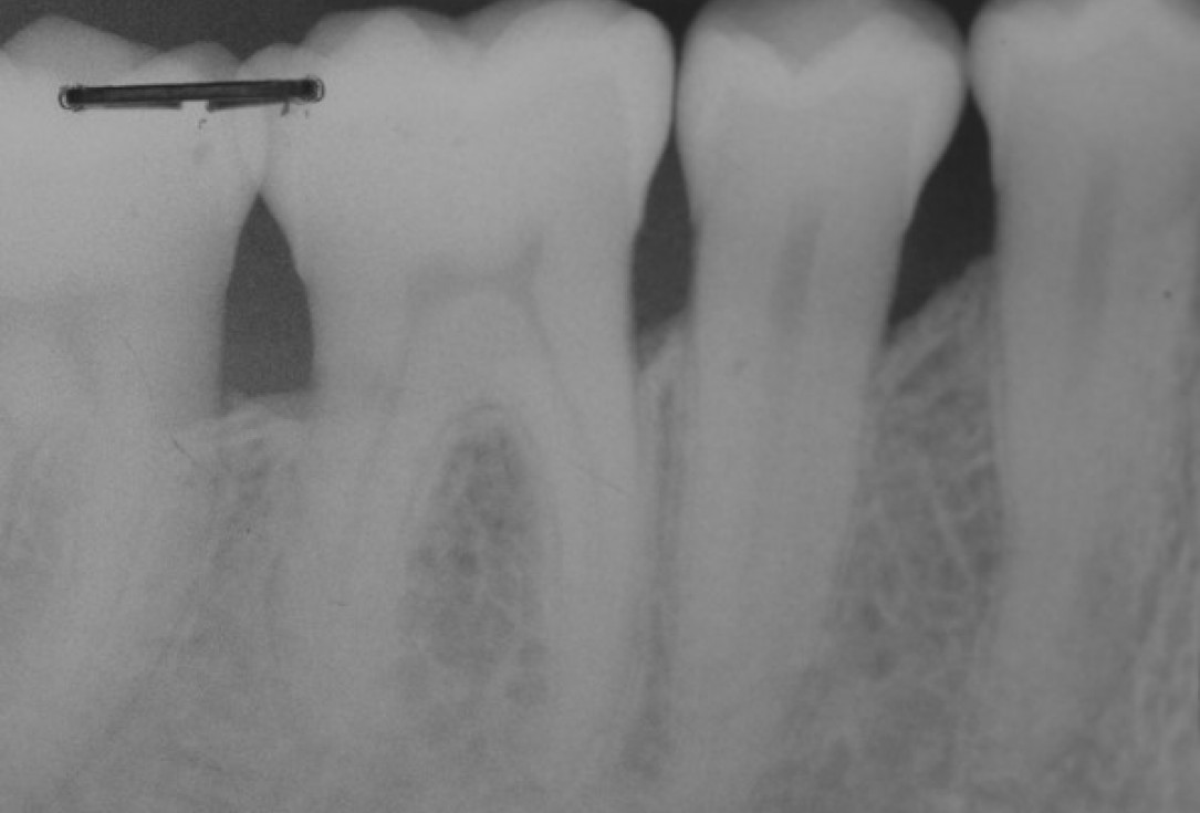
Radiographic view before periodontal regenerative therapy with Straumann® Emdogain®. A deep intrabony defect appeared mesially and distally on the left mandibular first premolar. Pre-surgical probing measured 8 mm. The defect morphology presented as well-contained.

Multiple gingival recessions treated by MCAT with mucoderm® and Straumann® Emdogain® (2) - Rathe

Pre-operative clinical situation. Shallow multiple adjacent gingival recessions in the first quadrant.

Restoration of buccal bone lamella in aesthetic zone with maxgraft® bonering - Dr. A. Patel

Initial situation: bone loss due to lack of physical load of bridge retained region 11

Block augmentation with maxgraft® in the maxilla - Dr. R. Cutts

Initial situation: 40 year old female patient with extensive scar tissue after several surgeries restored with a Rochette bridge