Treatment of a periodontal bone defect adjacent to an edentulous site using Straumann® Emdogain® - Prof. Dr. P. Windisch
-
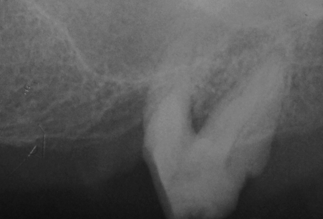
01/06 - Pre-operative radiograph.Treatment of a periodontal bone defect adjacent to an edentulous site using Straumann® Emdogain® - Prof. Dr. P. Windisch
-
02/06 - Pre-surgical probing.Treatment of a periodontal bone defect adjacent to an edentulous site using Straumann® Emdogain® - Prof. Dr. P. Windisch
-
03/06 - Pre-surgical probing to determine furcation involvement.Treatment of a periodontal bone defect adjacent to an edentulous site using Straumann® Emdogain® - Prof. Dr. P. Windisch
-
04/06 - Flap elevation by a midcrestal incision and application of Straumann® Emdogain® to the defect site.Treatment of a periodontal bone defect adjacent to an edentulous site using Straumann® Emdogain® - Prof. Dr. P. Windisch
-
05/06 - Suturing.Treatment of a periodontal bone defect adjacent to an edentulous site using Straumann® Emdogain® - Prof. Dr. P. Windisch
-
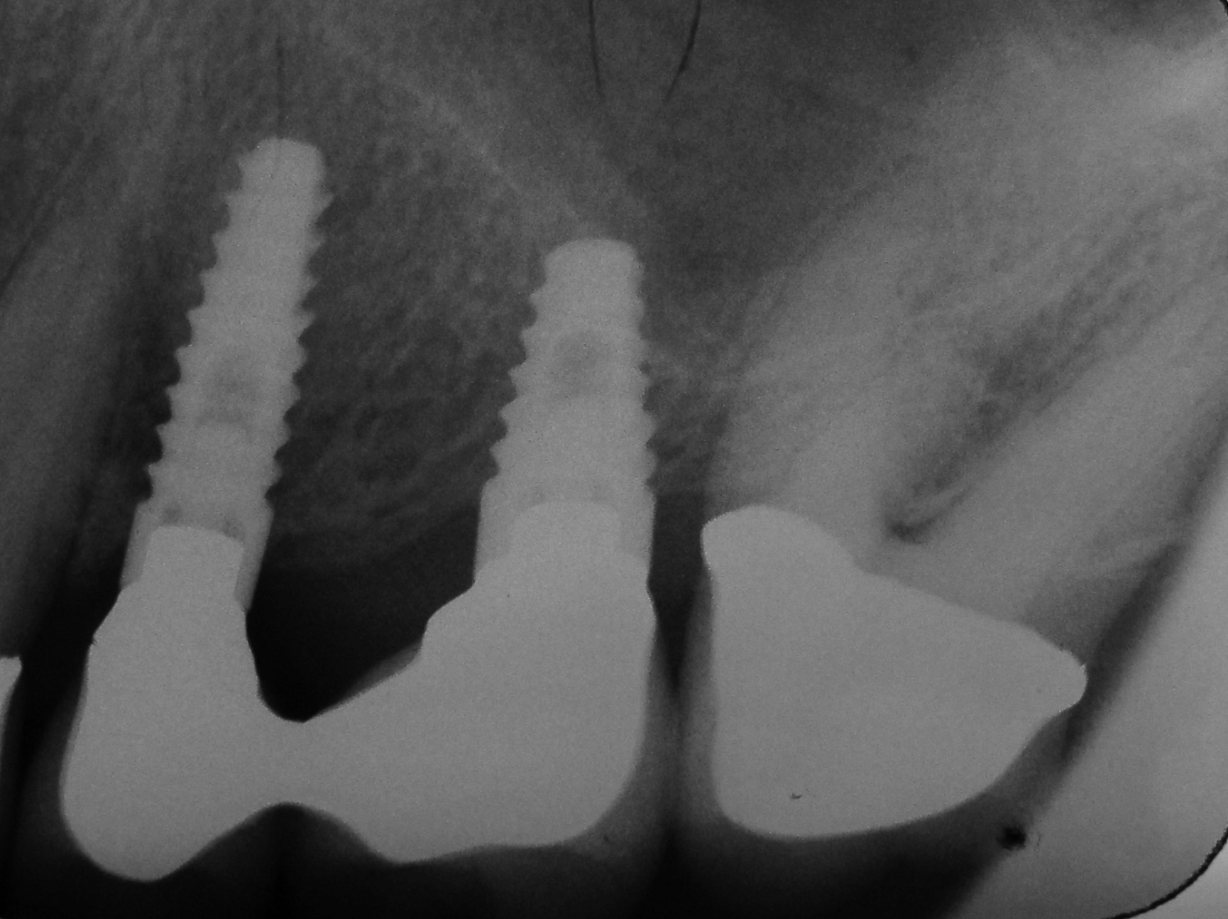
06/06 - Radiograph 5 years post-operative.Treatment of a periodontal bone defect adjacent to an edentulous site using Straumann® Emdogain® - Prof. Dr. P. Windisch
Alveolar socket before soft and hard tissue augmentation
Pre-operative OPG shows deep vertical intrabony defects on the distal aspects of teeth 13 and 14.
Radiographic view before periodontal regenerative therapy with Straumann® Emdogain®. A deep intrabony defect appeared mesially and distally on the left mandibular first premolar. Pre-surgical probing measured 8 mm. The defect morphology presented as well-contained.
Pre-operative clinical situation.
Pre-operative radiograph. Intrabony defect on the mesial aspect of tooth 14.
Pre-operative clinical situation. Gingival recessions at teeth 11 and 21.
Pre-surgical situation. Multiple adjacent gingival recessions at teeth 12, 13 and 14.
Pre-operative clinical view. Multiple adjacent gingival recessions.
Initial clinical situation
Pre-operative X-ray. Hopless tooth 21.
Pre-operative clinical situation.
Pre-surgical clinical situation, buccal view.
Pre-operative probing pocket depth (PPD) at the distal aspect of tooth 11 was 7 mm.
Pre-surgical clinical situation. Deep gingival recessions at both upper canine.
Pre-operative clinical situation. Multiple adjacent gingival recessions.
Pre-operative clinical situation. Shallow multiple adjacent gingival recessions in the first quadrant.
Initial situation: bone loss due to lack of physical load of bridge retained region 11
Pre-operative radiographic view. Intrabony defect on the distal aspect of the lateral incisor.
Situation after tooth removal.
Baseline clincial situation and pre-surgical probing.
Pre-operative radiographic view.
Baseline clinical situation. Recession depth of 6 mm at tooth 31.
Initial situation: 40 year old female patient with extensive scar tissue after several surgeries restored with a Rochette bridge





